Pernio = الشرث
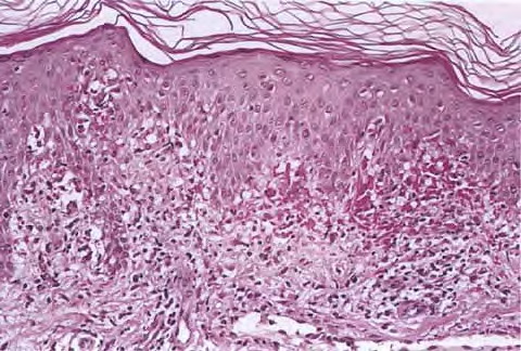
Pernio = الشرث Pernio (Chilblain) Pernio (chilblain) is a distinct form of cold-induced injury in which humidity, in addition to cold, plays a role in inducing the condition . There are acute and chronic presentations. Chilblains classically presents in young to middle-aged women as painful, burning, and/or pruritic erythematous to violaceous or cyanotic macules, papules, […]
Read More









