Pilar cyst = كيسة الشعر
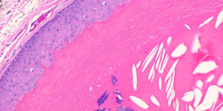
Pilar cyst = كيسة الشعر Pilar Cyst Pilar or trichilemmal cysts are clinically indistinguishable from epidermal cysts but differ from them in frequency and distribution. They are less common than epidermal cysts, constituting only about 25% of the combined material; about 90% occur on the scalp . Pilar cysts often show an autosomal dominant inheritance […]
Read More









