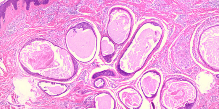
Papillary eccrine adenoma = الغدوم الناتح الحطاطي
Papillary eccrine adenoma = الغدوم الناتح الحطاطي OLYMPUS DIGITAL CAMERA OLYMPUS DIGITAL CAMERA
Read MorePapillary eccrine adenoma = الغدوم الناتح الحطاطي OLYMPUS DIGITAL CAMERA OLYMPUS DIGITAL CAMERA
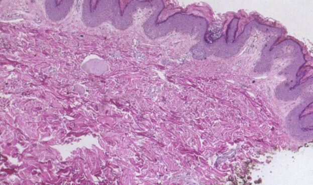
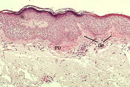
Read MorePapillary and reticular dermis = الادمة الحليمية والشبكية
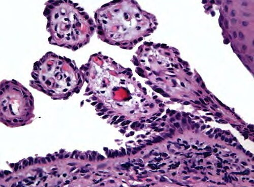
Read MorePapillomatosis in Verruca Vulgaris =التحلم في الثؤلول الشائع
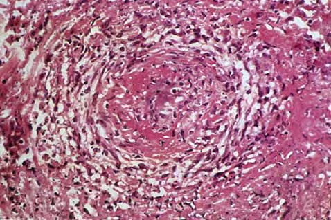
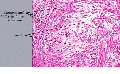
Read MorePapular mucinosis = الداء المخاطيني الحطاطي Mucinoses There are six types of cutaneous mucinosis: (a) generalized myxedema, (b) pretibial myxedema, (c) lichen myxedematosus or papular mucinosis, (d) reticular erythematous mucinosis or plaquelike mucinosis, (e) selfhealing juvenile cutaneous mucinosis, and (f) scleredema. Regular demonstration of the presence of mucin in the dermis is possible only in […]
Read MorePapulonecrotic Tuberculid =طفحة سلية حطاطية نخرية
Read MoreParaffinoma = الورم البارافيني Paraffinoma Foreign-body reactions may occur following injections of oily substances such as mineral oil (paraffin) typically into the breasts , genitalia, or scalp for cosmetic purposes. These occur as irregular, plaquelike indurations of the skin and subcutaneous tissue . Ulcers or abscesses may develop. The interval between the time of injection and […]
Read MoreParakeratosis in Normal Oral Mucosa =نظير التقرن في المخاطية الطبيعية
Read MoreParaneoplastic pemphigus = الفقاع نظير السرطاني
Read More