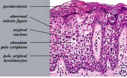
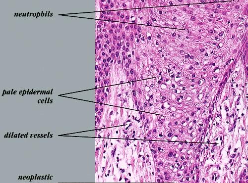
Paget disease = داء باجت
Paget disease = داء باجت OLYMPUS DIGITAL CAMERA OLYMPUS DIGITAL CAMERA Pacinian corpuscle Pacinian corpuscle. This pacinian body has a distorted outline. At the periphery, there is a well-formed dense fibrous membrane. Elongated spindle cells are compressed among the compactly arranged collagen fibers. At the center, an acidophilic punctum is representative of a single axon. […]
Read More









