Poroma=شزن=تورم بسبب إفراز غدي
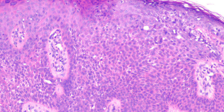
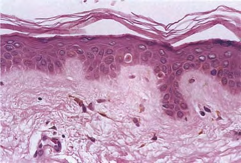
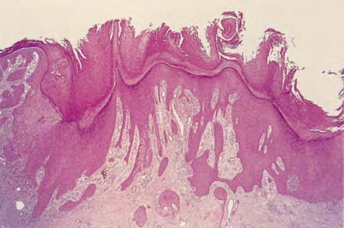
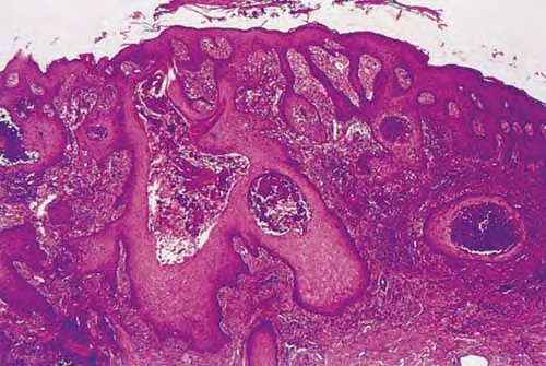
Poroma=شزن=تورم بسبب إفراز غدي POROMA The term poroma refers to a group of rare cutaneous appendage tumors composed of cells (cuticular and poroid cells) similar to those of the acrosyringium. Poromas are traditionally subcategorized histopathologically based on their location in relation to the epidermis into three main variants; namely, hidroacanthoma simplex, eccrine poroma, and […]
Read More









