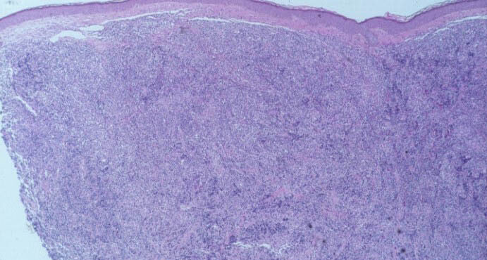
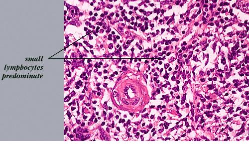
Pseudolymphoma- B-cell Type = اللمفوما الكاذبة بائية الخلايا
Pseudolymphoma- B-cell Type = اللمفوما الكاذبة بائية الخلايا
Read MorePseudolymphoma- B-cell Type = اللمفوما الكاذبة بائية الخلايا
Read MorePseudoxanthoma elasticum = الصفروم الكاذب المرن Pseudoxanthoma Elasticum In this disorder, genetically abnormal elastic fibers with a tendency toward calcification occur in the skin and frequently also in the retina and within the walls of arteries, particularly the gastric mucosal arteries, coronary arteries, and large peripheral arteries. The inheritance is usually autosomal recessive but is […]
Read MorePyoderma Gangrenosum = تقيح الجلد المواتي Pyoderma Gangrenosum First described in 1930 , pyoderma gangrenosum was once considered pathognomonic of idiopathic ulcerative colitis but has since been described in association with a wide variety of disorders, including roughly 5% of patients with Grohn’s disease. Beginning as folliculocentric pustules or fluctuant nodules, the lesions ulcerate and […]
Read MorePyogenic granuloma = الورم الحبيبي التقيحي OLYMPUS DIGITAL CAMERA OLYMPUS DIGITAL CAMERA OLYMPUS DIGITAL CAMERA OLYMPUS DIGITAL CAMERA
Read More