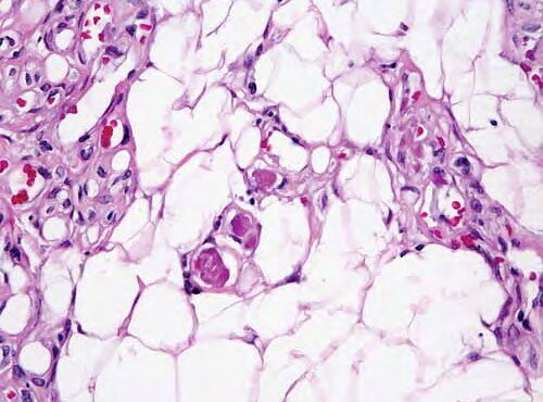
Angiolipoma = الشحموم الوعائي
Angiolipoma = الشحموم الوعائي
Read MoreAngiolymphoid hyperplasia =فرط تنسج لمفواني وعائي0
Read MoreAngiolymphoid hyperplasia with eosinophilia =فرط تنسج لمفواني وعائي مع كثرة الحمضات Angiolymphoid hyperplasia with eosinophilia Angiolymphoid hyperplasia with eosinophilia (ALHE) shows characteristic histologic features, including a proliferation of small blood vessels, many of which are lined by enlarged endothelial cells with uniform ovoid nuclei and intracytoplasmic vacuoles. These distinctive endothelial cells have been described as […]
Read MoreAngiomatoid fibrous histiocytoma =ورم الناسجات الليفي الوعاؤمي
Read MoreAngiomatosis. Vascular proliferation =التكاثر وعائي __التوعي
Read MoreAngiosarcoma = الساركوم الوعائي OLYMPUS DIGITAL CAMERA OLYMPUS DIGITAL CAMERA OLYMPUS DIGITAL CAMERA OLYMPUS DIGITAL CAMERA
Read MoreAnnular elastic granuloma =الورم الحبيبي الحلقي المرن
Read MoreAphthae = القلاع Aphthosis Behcet s Disease Behcet’s disease is a symptom complex of oral and genital ulceration and iritis that has a worldwide distribution but is most common in the Pacific rim and eastern Mediterranean (. The presence of oral ulceration plus any two signs of genital ulceration, skin lesions (e.g., pustules or nodules), […]
Read MoreApocrine hidrocystoma =الكيسوم العرقي المفترز Apocrine hidrocystoma The clinical appearance of a pea-sized cyst near the inner canthus of the eye, which contains a thin clear or pigmented fluid, suggests an apocrine hidrocystoma; however, histologic examination often is required to establish a specific and definitive diagnosis. Upon histologic examination, apocrine hidrocystomas show large unilocular or […]
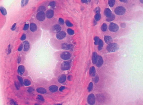
Read MoreApocrine unit. Apocrine glands with decapitation secretion = غدة مفترزة
Read More