Allergicurticarial reaction = ارتكاس أرجي شروي
RAllergicurticarial reaction = ارتكاس أرجي شروي
Read MoreRAllergicurticarial reaction = ارتكاس أرجي شروي
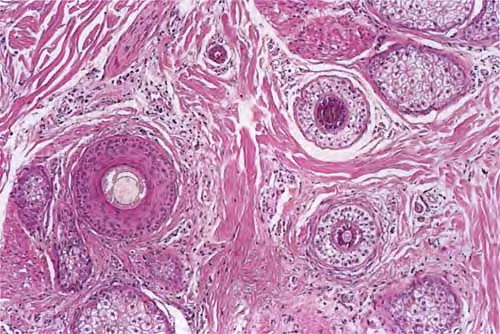
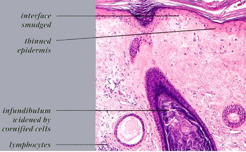
Read MoreAlopecia areata = الحاصة البقعية Alopecia Areata Alopecia areata (AA) is characterized clinically by complete or nearly complete absence of hair in one or more circumscribed areas of the scalp . Clinical inflammation, typically manifested by erythema, is not obvious, and the follicular openings are preserved, a clinical finding that allows the examiner to […]
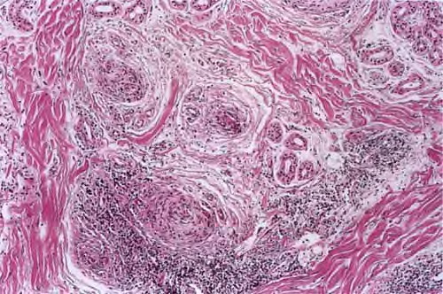
Read MoreAlopecia mucinosa = الحاصة المخاطينية Alopecia Mucinosa Follicular mucinosis is characterized clinically by grouped erythematous papules and/or plaques that may be markedly indurated or nodular ( and histologically by mucin accumulation in hair follicles . It can be classified into two types: a primary (idiopathic) type and a secondary variety. The primary form tends to have a […]
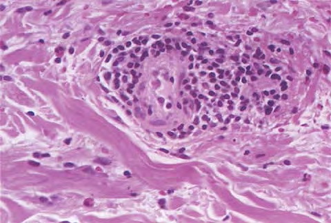
Read MoreAlopecia of Discoid Lupus Erythematosus = الحاصة بسبب الذئبة الحمامية القرصية
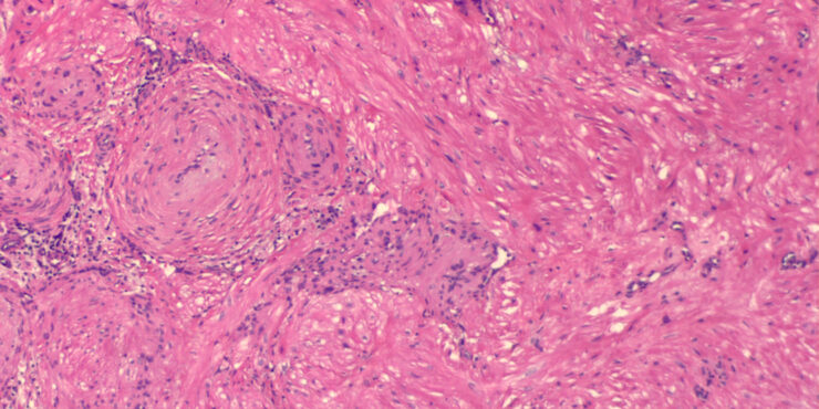
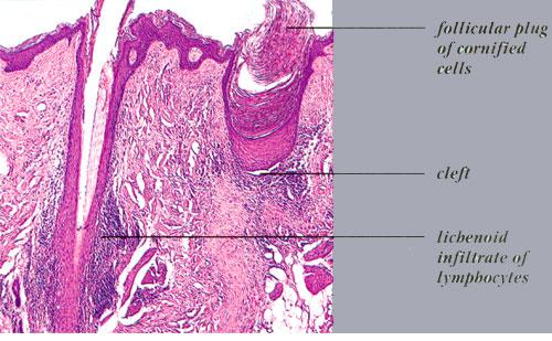
Read MoreAlopecia of Lichen Planus =الحاصة بسبب الحزاز المنبسط
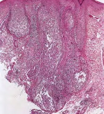
Read MoreAnaplastic Large Cell lymphoma =لمفوما كبيرة الخلايا غير مصنعة OLYMPUS DIGITAL CAMERA
Read MoreAndrogenetic alopecia = الحاصة الأندروجينية Androgenetic Alopecia The hallmark of androgenetic alopecia (AGA) is follicular miniaturization, the process by which hair shafts become progressively finer and shorter. AGA results from an androgenic influence on hair follicles in certain areas of the scalp, and the pattern of involvement in the different sexes has led to […]
Read MoreAngiokeratoma = القرنوم الوعائي Angiokeratoma Corporis DiffusumFabry Histology shows numerous, dilated, thin-walled, endothelial-lined, blood-engorged capillaries in the papillary dermis, with an overlying hyperkeratotic epidermis. Careful inspection may reveal cytoplasmic vacuoles containing lipid in the endothelial cells, fibroblasts, and pericytes. However, in most patients, histologic findings essentially are identical to those of other […]
Read More