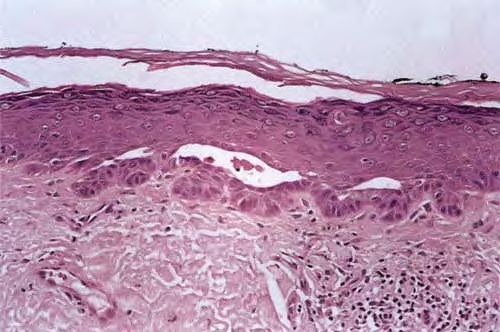
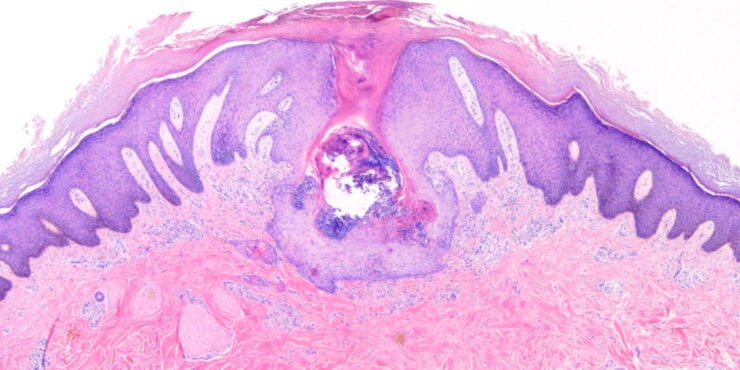
Acantholyisis SCCA =انحلال الأشواك
Acantholyisis SCCA =انحلال الأشواك OLYMPUS DIGITAL CAMERA OLYMPUS DIGITAL CAMERA
Read MoreAcantholyisis SCCA =انحلال الأشواك OLYMPUS DIGITAL CAMERA OLYMPUS DIGITAL CAMERA
Read MoreAcantholysis-pemphigus vulgaris= انحلال الاشواك في الفقاع الشائع :
Read MoreAcantholytic actinic keratosis =انحلال الاشواك في التقران الضيائي
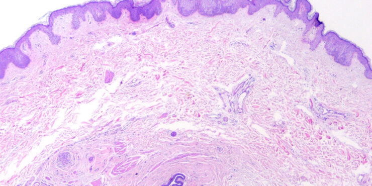
Read MoreAcanthosis nigricans =داء الشواك الأسود Acanthosis Nigricans Acanthosis nigricans can be seen in multiple clinical settings: malignancy associated, benign, inherited, obesity associated, syndromic, drug induced, and mixed (. The malignant type differs from the benign types by showing more extensive and more pronounced lesions, by its progressiveness, and by its onset usually after […]
Read MoreAccessory digit =الاصبع الزائد Supernumerary Digit Polydactyly is the most common congenital digital anomaly of the hand and foot. It may appear in isolation or in association with other birth defects. Isolated polydactyly is often autosomal dominant or occasionally random, while syndromic polydactyly is commonly autosomal recessive. Polydactyly should not be considered as a single […]
Read MoreAccessory Nipple =’الحلمة الاضافية OLYMPUS DIGITAL CAMERA OLYMPUS DIGITAL CAMERA OLYMPUS DIGITAL CAMERA Accessory Nipple The histologic features of a supernumerary nipple are identical to that of the regular nipple, including hyperpigmentation, slight hyperkeratosis with epidermal thickening, pilosebaceous structure of Montgomery areolar tubercles, smooth muscle bundles typical of the areola, and possible mammary glands […]
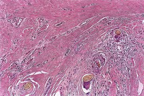
Read MoreAcne keloidalis nuchae =العد الجدري Acne keloidalis nuchae The histological findings vary depending on the timing of the biopsy. The initial infiltrate is primarily composed of neutrophils and lymphocytes that are distributed around the lower infundibulum and isthmus of the hair follicle. Subsequently, the follicle and sebaceous glands are destroyed, with liberation of the […]
Read MoreAcne vulgaris erythematous papule =العد الشائع
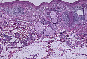
Read MoreAcquired perforating dermatosis = الجلاد الثاقب المكتسب OLYMPUS DIGITAL CAMERA OLYMPUS DIGITAL CAMERA
Read More