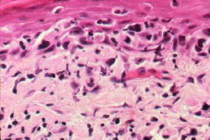
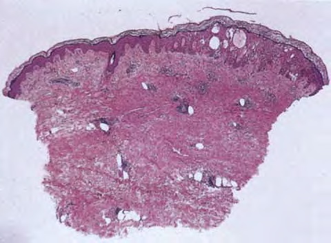
Acquired progressive lymphangioma =الورم الوعائي اللمفاوي المترقي المكتسب
Acquired progressive lymphangioma =الورم الوعائي اللمفاوي المترقي المكتسب
Read MoreAcquired progressive lymphangioma =الورم الوعائي اللمفاوي المترقي المكتسب
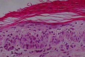
Read MoreAcquired Acral Fibrokeratoma =القرنوم الليفي المكتسب
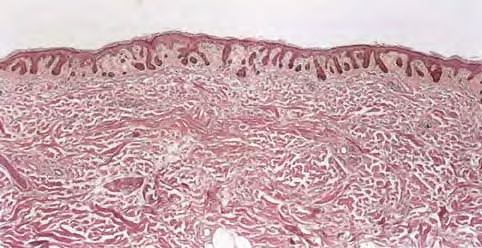
Read MoreAcral lentiginous melanoma =ميلونوم الشامة المصطبغة على الاطراف Acral Ientiginous Melanoma Acral melanoma occurs on the hairless skin of the palms and soles and in the ungual and periungual regions, the soles being the most common site . Acral melanoma is uncommon in all ethnic groups, but it is the predominant form of melanoma […]
Read MoreAcrosyringium intraepidermal portion of the eccrine duct = غدوم عرقي في البشرة في النهايات
Read MoreActinic keratoses =التقران الضيائي OLYMPUS DIGITAL CAMERA OLYMPUS DIGITAL CAMERA Actinic Keratosis Solar keratoses are also known as actinic keratoses. The adjective solar is more specific because it refers to the sun as the cause, whereas the adjective actinic refers to a variety of rays . Even among the sun’s rays, action spectrum evaluations indicate that the ultraviolet […]
Read MoreActinic lentigo =الشامة الضيائية Solar Lentigo Actinic Lentigo Solar lentigines commonly occur as multiple lesions in areas exposed to the sun, such as the face and extensor surfaces of the forearms, but most commonly on the dorsa of the hands. The lesions increase in number with age, in contrast to nevi, which decline in number […]
Read MoreAcute contact dermatitis = التهاب ا لجلدالحاد بالتماس OLYMPUS DIGITAL CAMERA OLYMPUS DIGITAL CAMERA
Read MoreAcute cutaneous graft-versus-host reaction (GVHR) = ارتكاس رفض الطعم الجلدي للمضيف Graft Versus Host Disease GVHD occurs in situations in which donor immunocompetent T cells transferred into allogenic hosts are incapable of rejecting them. The sources of the T cells include primarily peripheral blood stem cell and bone marrow transplants and, infrequently, unirradiated blood products […]
Read More