Acute discoid lupus erythematosus = الذئبة الحمامية القرصية الحادة
Acute discoid lupus erythematosus = الذئبة الحمامية القرصية الحادة
Read MoreAcute discoid lupus erythematosus = الذئبة الحمامية القرصية الحادة
Read MoreAcute generalized exanthematous pustulosis =طفح بثري حاد ومعمم
Read MoreAdenoid (acantholytic) scc = الكارسينوم شائك الخلايا الغداني منحل الاشواك
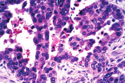
Read MoreAdenoid cystic carcinoma=كارسينوما كيسية غدانية OLYMPUS DIGITAL CAMERA
Read MoreAdult mast cell disease (telangiectasia macularis eruptive perstans) =داء الخلايا البدينة عند البالغين
Read MoreAged skin = شيخوخة الجلد Aging of Skin ▪ EFFECTS OF AGING In both developed and developing nations, the number and proportion of older people are increasing. Thirty-one percent of the U.S. population is expected to be 55 years of age or older by the year 2030.1 This demographic shift compels health care […]
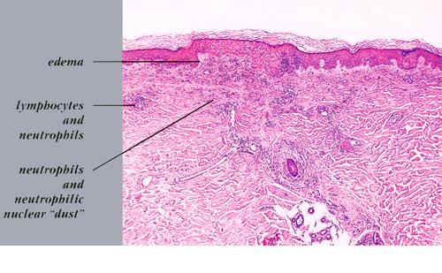
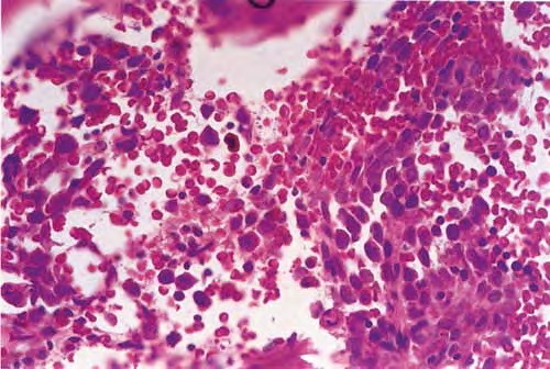
Read MoreAllergic (leukocytoclastic) vasculitis = التهاب الاوعية الارجي الكاسر للنوى-
Read More