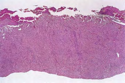
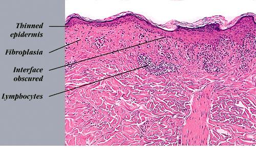
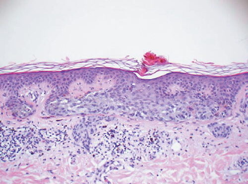
Atrophic lichen planus = الحزاز المنبسط الضموري
Atrophic lichen planus = الحزاز المنبسط الضموري
Read MoreAtrophic lichen planus = الحزاز المنبسط الضموري
Read MoreAtypical compound (dysplastic) nevus =وحمة مركبة عسيرة التصنع غيرنموذجية
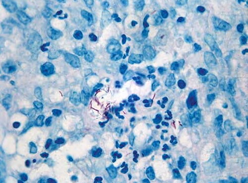
Read MoreAtypical mycobacteria =المتفطرات اللا نموذجية Atypical mycobacteria pathologic examination of tissue can reveal tuberculoid, palisading, and sarcoidlike granulomas; a diffuse infiltrate of histiocytic foamy cells; acute and chronic panniculitis; nonspecific chronic inflammation; cutaneous abscesses; suppurative granulomas; and necrotizing folliculitis. Suppurative granulomas are the most characteristic feature in skin biopsy specimens from cutaneous atypical mycobacteria […]
Read MoreAtypical vascular proliferation =تكاثر وعائي لا نموذجي
Read More