Parapsoriasis Large-plaque = نظير الصدف كبير اللويحات
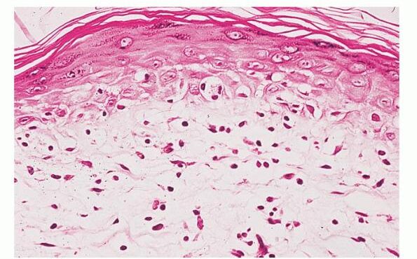
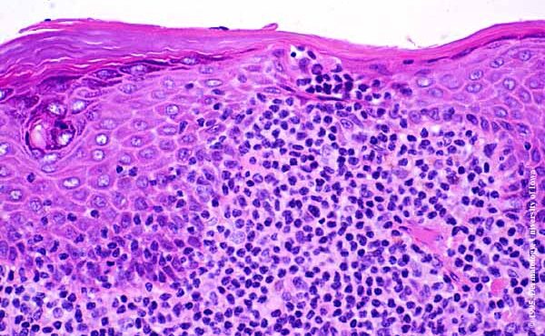
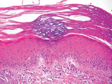
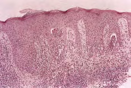
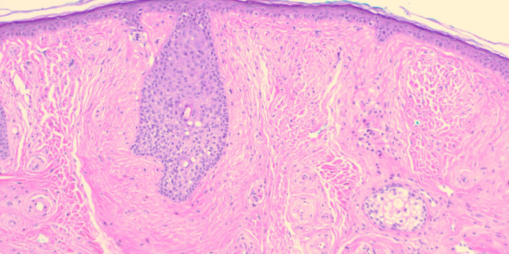
Parapsoriasis Large-plaque = نظير الصدف كبير اللويحات Parapsoriasis There are three entities described as parapsoriasis: small-plaque parapsoriasis, large-plaque parapsoriasis, and parapsoriasis variegata. Large-plaque parapsoriasis and parapsoriasis variegata are best considered as early stages of cutaneous T-cell lymphoma/mycosis fungoides. The small-plaque parapsoriasis is also known as xanthoerythrodermia perstans of Crocker and as digitate dermatosis . Pink-to-yellow, slightly scaly, oval or elongated, […]
Read More









