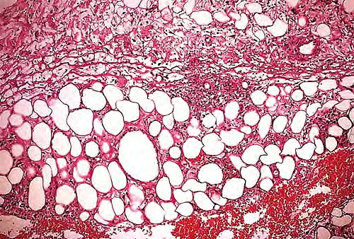
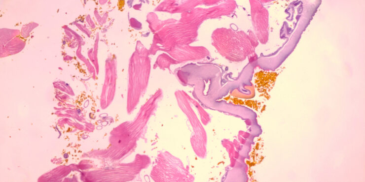
Mucus Retention =الأحتباس المخاطي
Mucus Retention =الأحتباس المخاطي
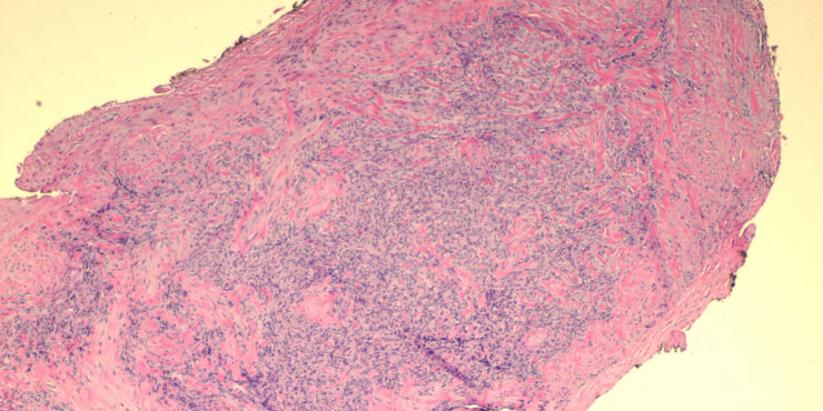
Read MoreMulticentric reticulo histiocytosis = داء كثرة الناسجات الشبكي متعدد المراكز
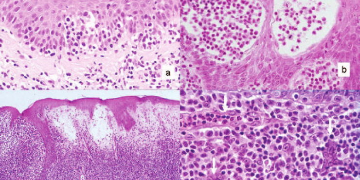
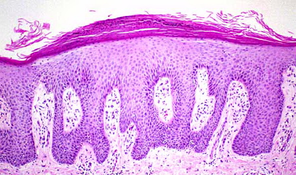
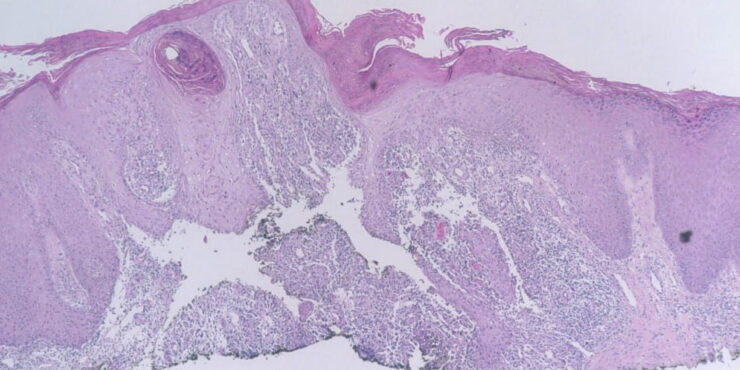
Read MoreMunro microabscesses in Psoriasis = خراجات مونرو المجهرية في الصدف Psoriasis Psoriasis may be divided into psoriasis vulgaris, generalized pustular psoriasis, and localized pustular psoriasis. Psoriasis Vulgaris Clinical Features Psoriasis vulgaris is a common chronic inflammatory skin disorder that affects approximately 1.5% to 2% of the population in the Western countries. It is characterized by […]
Read MoreMycobacteria = المتفطرات OLYMPUS DIGITAL CAMERA OLYMPUS DIGITAL CAMERA OLYMPUS DIGITAL CAMERA Infections with Nontuberculosis Mycobacteria Among the nontuberculosis, nonleprosy mycobacterial infections of the skin, those caused by M. marinum are the most common among nonimmunosuppressed people . Unlike M. tuberculosis, which is transmitted from person to person, nontuberculosis mycobacteria are abundant in nature, […]
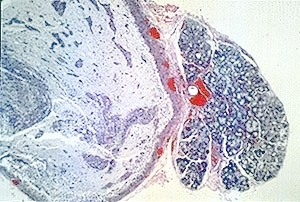
Read MoreMycobacterial panniculitis = التهاب السبلةالشحمية بالمتفطرات Infections with Nontuberculosis Mycobacteria Among the nontuberculosis, nonleprosy mycobacterial infections of the skin, those caused by M. marinum are the most common among nonimmunosuppressed people . Unlike M. tuberculosis, which is transmitted from person to person, nontuberculosis mycobacteria are abundant in nature, in soil and water, and contact is […]
Read MoreMycobacteria marinum =متفطرات حوض السباحة Infections with Nontuberculosis Mycobacteria Among the nontuberculosis, nonleprosy mycobacterial infections of the skin, those caused by M. marinum are the most common among nonimmunosuppressed people . Unlike M. tuberculosis, which is transmitted from person to person, nontuberculosis mycobacteria are abundant in nature, in soil and water, and contact is frequent […]
Read MoreMycosis Fongoïde =التفطر الكمئي OLYMPUS DIGITAL CAMERA OLYMPUS DIGITAL CAMERA
Read More