By Dr:jehad April 23, 2026 melanoacanthoma melanoacanthoma OLYMPUS DIGITAL CAMERA OLYMPUS DIGITAL CAMERA OLYMPUS DIGITAL CAMERA Read More
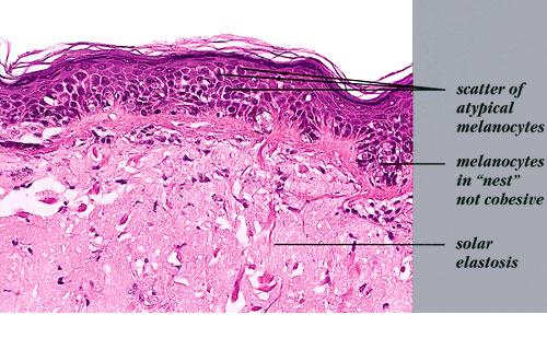
By Dr:jehad April 23, 2026 melanoma-in-situ-on-sun-damaged-skin-of-a face melanoma-in-situ-on-sun-damaged-skin-of-a face Read More
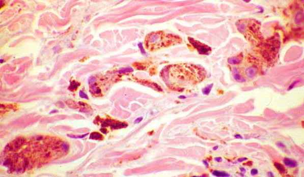
By Dr:jehad April 23, 2026 melanophages-in-a-combined-nevus melanophages-in-a-combined-nevus Read More