macromelanosomes
macular-amyloidosis
majoccchi-granuloma
malignant-blue-nevus–melanoma
malignant-fibrous-histiocytoma
malignant-lymphoma-b-Cell-type
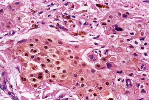
malignant-melanoma
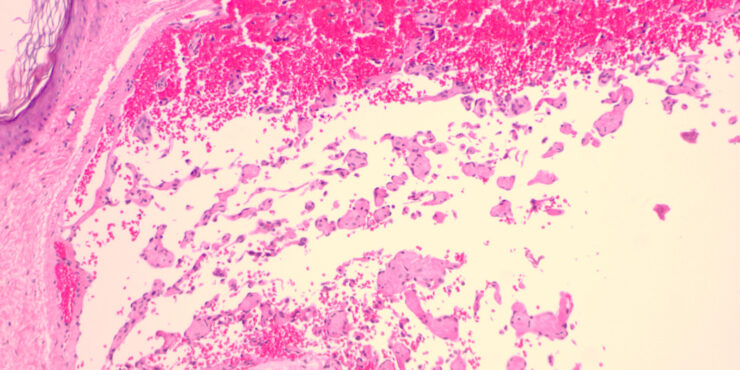
masson_tumor
mast-cell
mastocytose