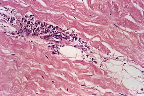
Morpheaform basal cell carcinoma =الكارسينوما قاعدية الخلايا الصلابية الشكل

Morpheaform basal cell carcinoma =الكارسينوما قاعدية الخلايا الصلابية الشكل Basal Cell Carcinoma Basal cell carcinoma (BCC) is a malignant neoplasm derived from nonkeratinizing cells that originate in the basal layer of the epidermis. If left untreated, BCC will continue to invade locally and may result in substantial tissue damage that compromises function and cosmesis. Metastasis […]

Read More

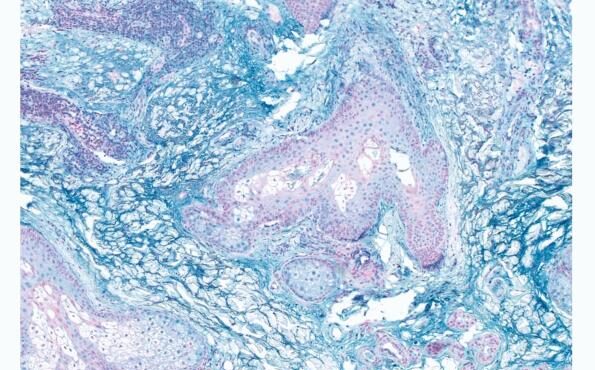
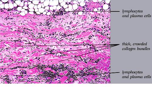
Morphea_late stage = صلابة الجلد مرحلة متأخرة

Morphea_late stage = صلابة الجلد مرحلة متأخرة Morphea In morphea, or circumscribed scleroderma, the lesions usually are limited to the skin and to the subcutaneous tissue beneath the cutaneous lesions. Occasionally, however, the underlying muscles and rarely the underlying bones are also affected. Morphea may be divided according to morphology and distribution of lesions into […]

Read More

Morphea profundus =صلابة الجلد العميقة

Morphea profundus =صلابة الجلد العميقة Morphea In morphea, or circumscribed scleroderma, the lesions usually are limited to the skin and to the subcutaneous tissue beneath the cutaneous lesions. Occasionally, however, the underlying muscles and rarely the underlying bones are also affected. Morphea may be divided according to morphology and distribution of lesions into six types: […]

Read More

Mucinosis in lupus erythematosus =الداء المخاطيني مع الذئبة الحمامية

Mucinosis in lupus erythematosus =الداء المخاطيني مع الذئبة الحمامية Mucinoses There are six types of cutaneous mucinosis: (a) generalized myxedema, (b) pretibial myxedema, (c) lichen myxedematosus or papular mucinosis, (d) reticular erythematous mucinosis or plaquelike mucinosis, (e) self­healing juvenile cutaneous mucinosis, and (f) scleredema. Regular demonstration of the presence of mucin in the dermis is […]

Read More

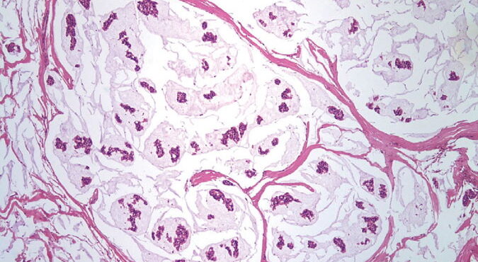
Mucinous eccrine carcinoma = الكارسينوم المخاطيني الناتح

Mucinous eccrine carcinoma = الكارسينوم المخاطيني الناتح MUCINOUS CARCINOMA Epidemiology. Primary mucinous carcinoma of the skin (colloid, gelatinous, or adenocystic carcinoma) is a rare, low-grade carcinoma. Etiology. This lesion bears close morphologic resemblance to mucinous carcinoma of the breast. Clinical Findings. It presents as a solitary, slowly growing, soft to firm, grayish, reddish, or bluish […]

Read More
error: Content is protected !!