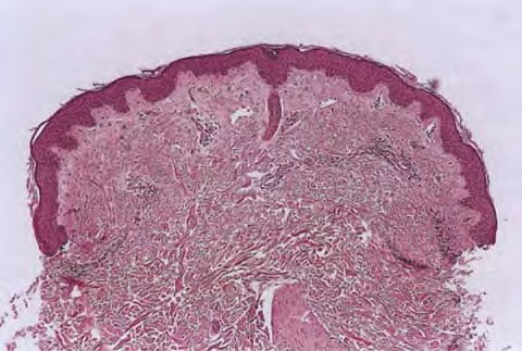
merkel-cell-carcinoma
merkel-cell-carcinoma OLYMPUS DIGITAL CAMERA OLYMPUS DIGITAL CAMERA
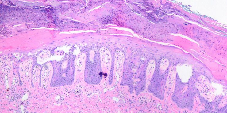
Read Moremetastasis OLYMPUS DIGITAL CAMERA OLYMPUS DIGITAL CAMERA OLYMPUS DIGITAL CAMERA OLYMPUS DIGITAL CAMERA OLYMPUS DIGITAL CAMERA OLYMPUS DIGITAL CAMERA
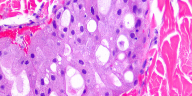
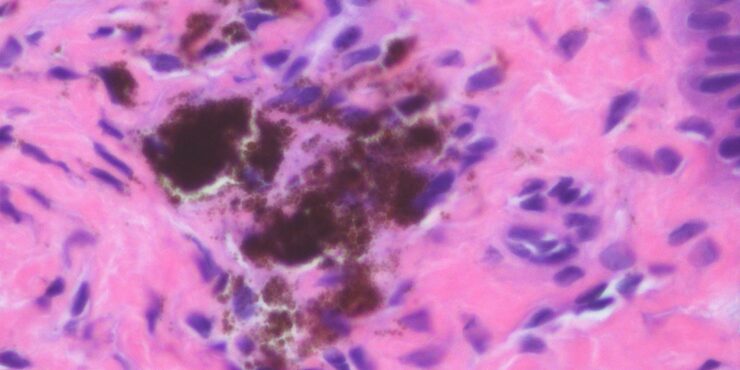
Read Moreminocycline-pigmentation OLYMPUS DIGITAL CAMERA OLYMPUS DIGITAL CAMERA
Read More