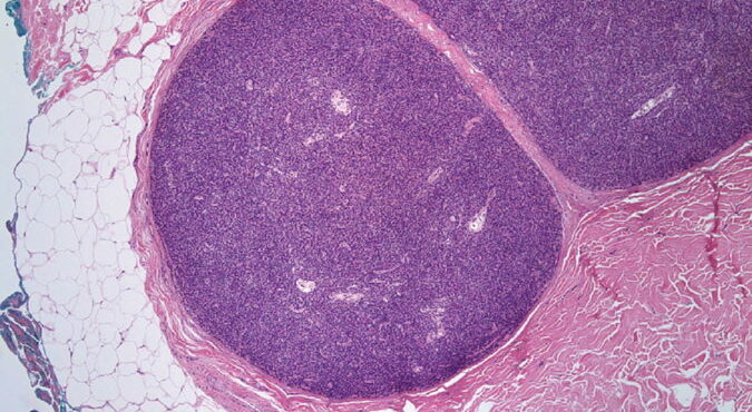
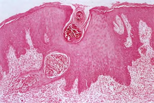
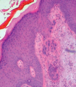
Early nodular Bcc =ورم قاعدي الخلايا عقيدي في مرحلة مبكرة
Early nodular Bcc =ورم قاعدي الخلايا عقيدي في مرحلة مبكرة
Read MoreEarly nodular Bcc =ورم قاعدي الخلايا عقيدي في مرحلة مبكرة
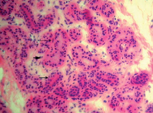
Read MoreEccrine angiomatous hamartoma = ورم عجائبي وعائي وناتح OLYMPUS DIGITAL CAMERA OLYMPUS DIGITAL CAMERA OLYMPUS DIGITAL CAMERA
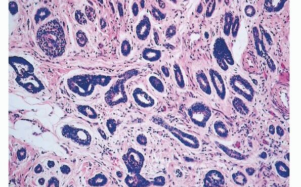
Read MoreEccrine carcinoma = كارسينوما الغدةالناتحة ECCRINE CARCINOMA Etiology. Eccrine carcinoma is a term used for a group of rare, malignant, eccrine neoplasms with a great diversity in histomorphologic features and wide differences in biologic behavior. The common histopathologic denominator is the presence of variable areas of basaloid cells with tubular structures. These tumors have previously been described under different names, including basal cell […]
Read MoreEccrine hidrocystoma = كيسة عرقيةاحتباسية لغدة ناتحة
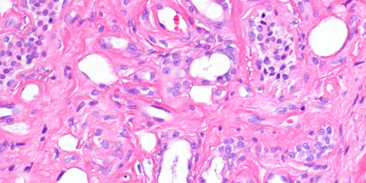
Read MoreEccrine poroma = ورم مسامي ناتح POROMA The term poroma refers to a group of rare cutaneous appendage tumors composed of cells (cuticular and poroid cells) similar to those of the acrosyringium. Poromas are traditionally subcategorized histopathologically based on their location in relation to the epidermis into three main variants; namely, hidroacanthoma simplex, eccrine […]
Read MoreEccrine unit situated in deep dermis = وحدةغدية ناتحة تتوضع في الادمة العميقة
Read MoreElastosis perforans serpiginosa = المران الثاقب الزاحف
Read MoreEosinophilic annular erythema = حمامى حلقية بالحمضات
Read More