Erythropoietic protoporphyria = البروتو بورفيريا المكونة للدم
Erythropoietic protoporphyria = البروتو بورفيريا المكونة للدم
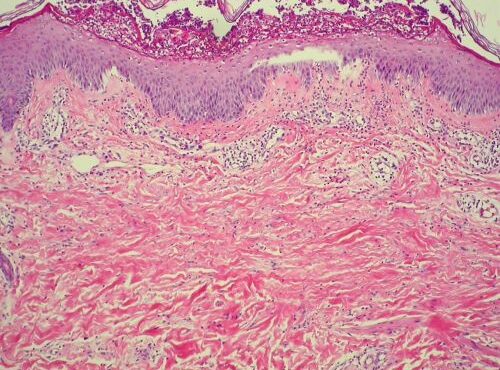
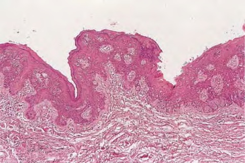
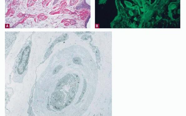
Read MoreErythropoietic protoporphyria = البروتو بورفيريا المكونة للدم
Read MoreExtra Mammary Pagets Disease = داء باجت خارج الثدي Mammary and Extramammary Paget Disease EPIDEMIOLOGY Mammary Paget disease (MPD) represents approximately 1 percent to 3 percent of breast neoplasms. The peak incidence is between 50 and 60 years of age. MPD in males is extremely rare; almost all reported cases occur in […]
Read More