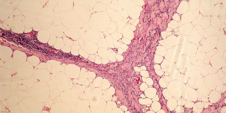
Eosinophilic fasciitis = التهاب الصفاق بالحمضات
Eosinophilic fasciitis = التهاب الصفاق بالحمضات Eosinophilic Fasciitis Shulman’s Syndrome First described in 1974 , eosinophilic fasciitis is a scleroderma-like disorder characterized by inflammation and thickening of the deep fascia. It has a rapid onset associated with pain, swelling, and progressive induration of the skin leading to exaggerated deep grooving of the skin around superficial […]
Read More









