Erythema elevatum diutinum = الحمامى المرتفعة الدائمة
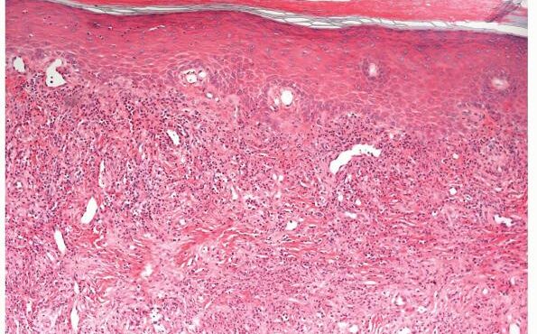
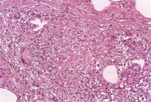
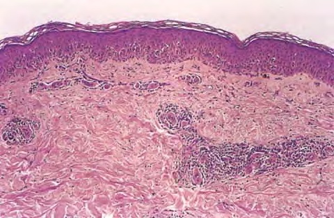
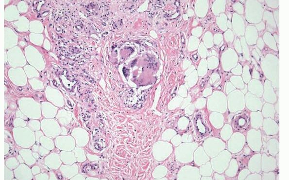
Erythema elevatum diutinum = الحمامى المرتفعة الدائمة Erythema Elevatum Diutinum This rare condition is characterized by persistent, initially red to violaceous and later brown to yellow papules, nodules, and plaques . The lesions, typically distributed symmetrically on the extensor surfaces of the extremities, are initially soft and then evolve into fibrous nodules. Histopathologic Features. In […]
Read More









