Spindle cell nevus = الوحمة مغزلية الخلايا
Spindle cell nevus = الوحمة مغزلية الخلايا
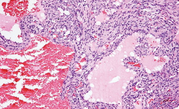
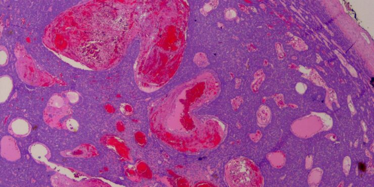
Read MoreSpindle cell hemangioma = وعاؤوم مغزلي الخلايا
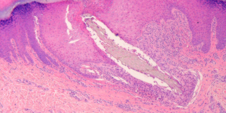
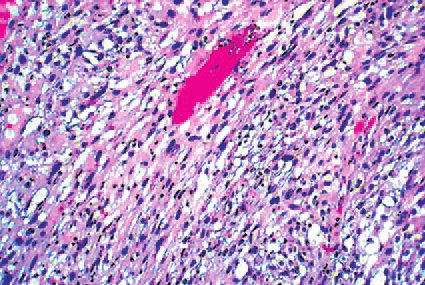
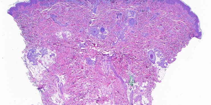
Read MoreSpindle cell scc = الكارسينوما الشائكة _مغزلية الخلايا
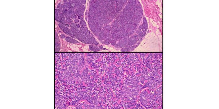
Read MoreSpir adenocylindroma = الاسطوانوم الغدي العرقي
Read MoreSpiradenoma=ورم غدي عرقي OLYMPUS DIGITAL CAMERA OLYMPUS DIGITAL CAMERA OLYMPUS DIGITAL CAMERA OLYMPUS DIGITAL CAMERA OLYMPUS DIGITAL CAMERA
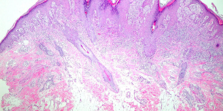
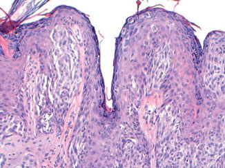
Read MoreSpitz’s Nevus, Compound Type = وحمة سبيتز —النموذج المركب
Read MoreSpitz naevus (juvenile melanoma) = وحمة سبيتز _الميلانوم الفتوي
Read MoreSpitz tumor (malignant Spitzoid neoplasm–Metastasizing = ورم سبيتز
Read MoreSplinter hemorrhage = النزف المتشظي OLYMPUS DIGITAL CAMERA
Read More