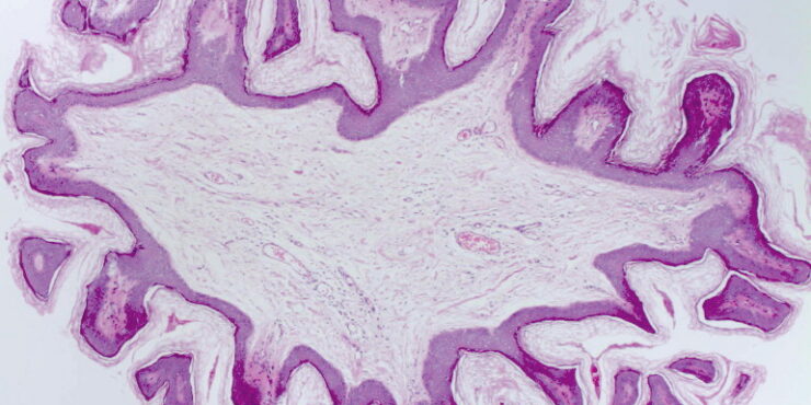
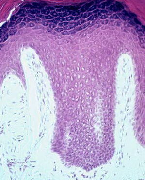
Section of thick skin = مقطع في جلد سميك
Section of thick skin = مقطع في جلد سميك
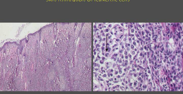
Read MoreSkin_infiltration = ارتشاح الجلد بالخلايا الابيضاضية
Read MoreSolar lentiginous melanoma = ميلانوم النمشات الضيائية
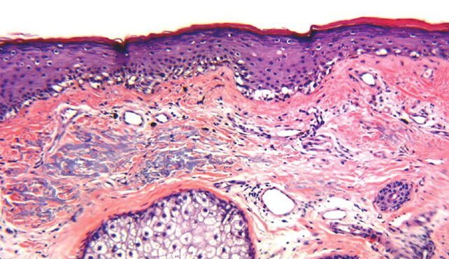
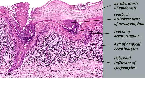
Read MoreSolar keratosis with lichenoid infiltrate of lymphocytes = التقران الضيائي مع ارتشاح حزازاني للخلايا اللمفاوية
Read MoreSolar melanoma in situ = الميلانوما الضيائي الموضع
Read MoreSolid cystic hidradenoma = الغدوم العرقي الكيسي الصلب
Read More