Scurvy= الاسقربوط
Scurvy= الاسقربوط
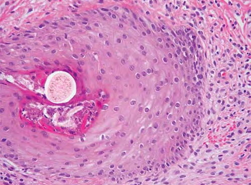
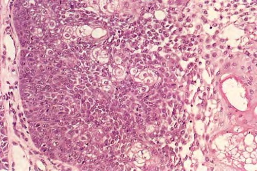
Read MoreSebaceous adenoma = غدوم دهني OLYMPUS DIGITAL CAMERA OLYMPUS DIGITAL CAMERA OLYMPUS DIGITAL CAMERA OLYMPUS DIGITAL CAMERA
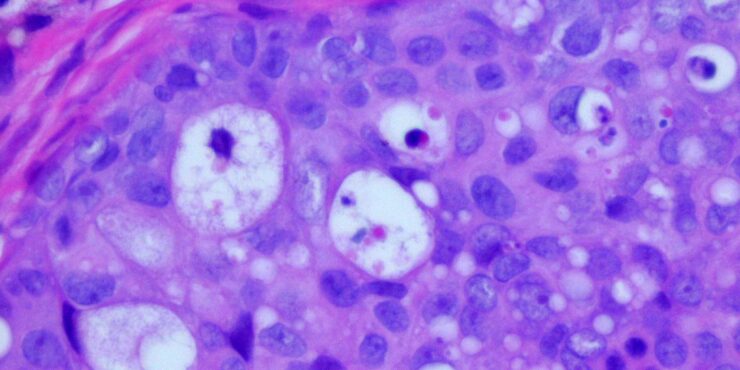
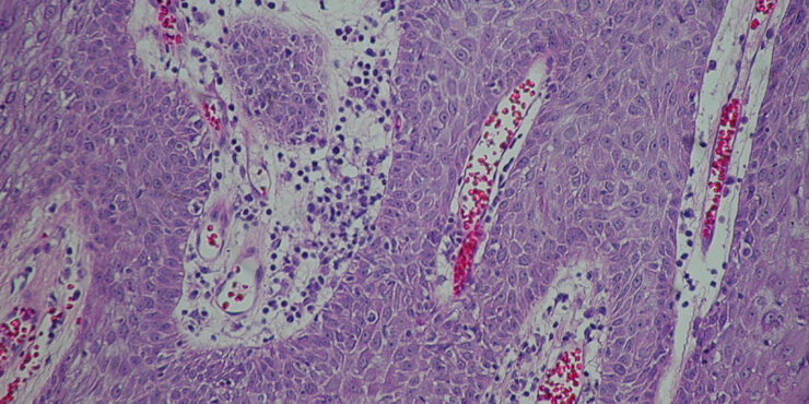
Read MoreSebaceous carcinoma = الكارسينوما الدهنية OLYMPUS DIGITAL CAMERA OLYMPUS DIGITAL CAMERA OLYMPUS DIGITAL CAMERA OLYMPUS DIGITAL CAMERA OLYMPUS DIGITAL CAMERA
Read MoreSeborrheic hyperplasia = فرط تصنع دهني OLYMPUS DIGITAL CAMERA
Read MoreSeBborrheic dermatitis = التهاب الجلد الدهني Seborrheic Dermatitis Clinically, patients develop erythema and greasy scale on the scalp, ears, eyebrows, nasolabial areas, and central chest. Rarely, patients with seborrheic dermatitis develop generalized lesions. In infants, the scalp (“cradle cap”), face, and diaper areas are often involved. It is said to be a rare cause of […]
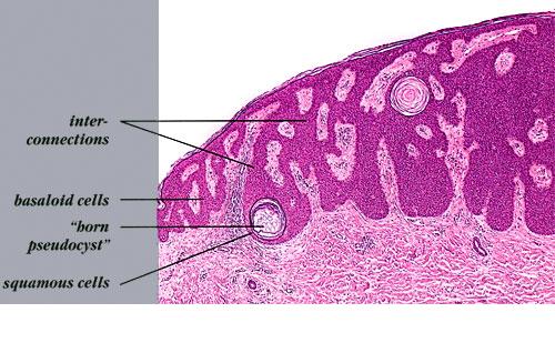
Read MoreSeborrheic keratosis, acanthotic type = التقران الدهني من النموذج الشواكي Seborrheic Keratosis Seborrheic keratoses are very common: sometimes single but often multiple. They occur mainly on the trunk and face but also on the extremities, excluding palms and soles. They usually do not appear before middle age, but are present in about 20% of the […]
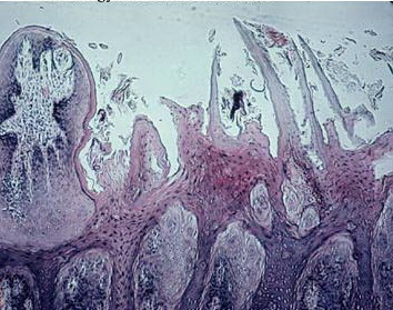
Read MoreSection of surface of tongue = مقطع في سطح اللسان
Read More