Suture granuloma = الحبيبوم مكان الغرزة الجراحية
Suture granuloma = الحبيبوم مكان الغرزة الجراحية
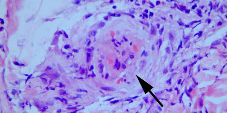
Read MoreSuture granuloma = الحبيبوم مكان الغرزة الجراحية
Read MoreSweet syndrome = متلازمة سويت Sweets Syndrome and Sweets Like Neutrophilic Dermatosis Dr. R. D. Sweet described in 1964 a disease process, which he termed “acute febrile neutrophilic dermatosis,” that was characterized by abrupt onset of fever, leukocytosis, and erythematous plaques infiltrated by neutrophils . This condition typically occurs in middle-aged women after nonspecific infections […]
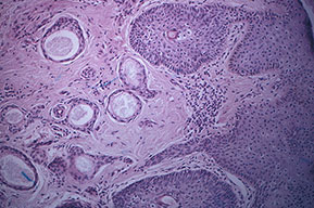
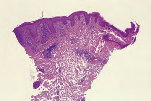
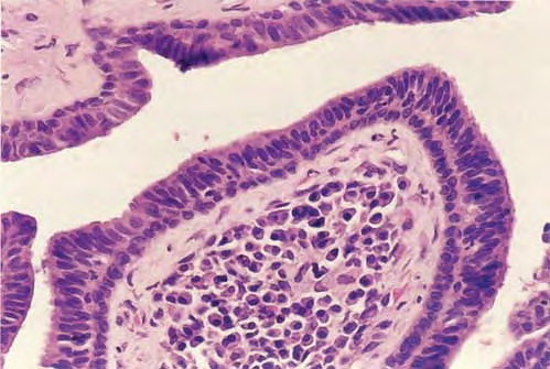
Read MoreSyringocystadenoma papilliferum =الغدوم العرقي الكيسي الحليمي الشكل OLYMPUS DIGITAL CAMERA OLYMPUS DIGITAL CAMERA
Read MoreSystemic plasmacytosis = داء كثرة المصوريات الجهازي
Read More