Necrobiois lipoidica diabeticorum = النخر الشحماني السكري
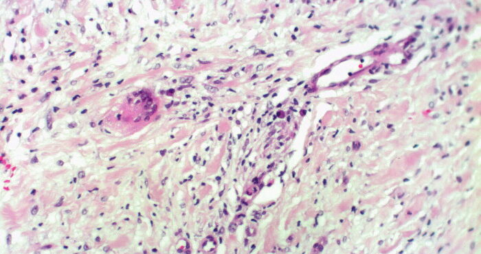
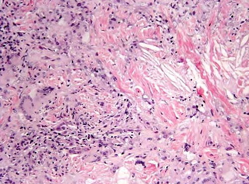
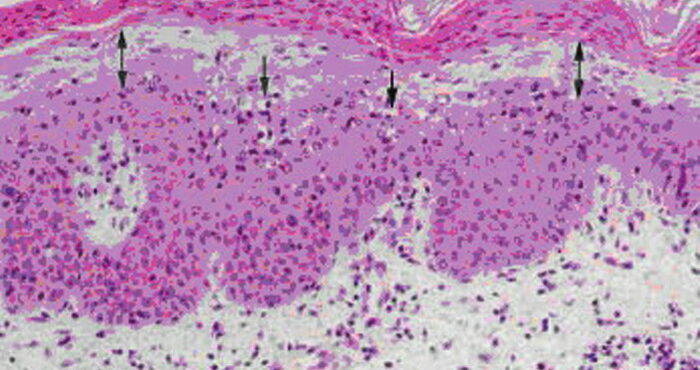
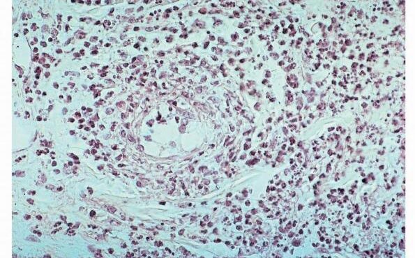
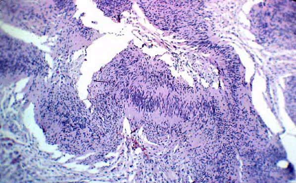
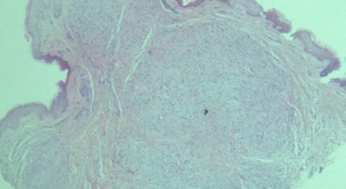
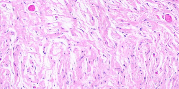
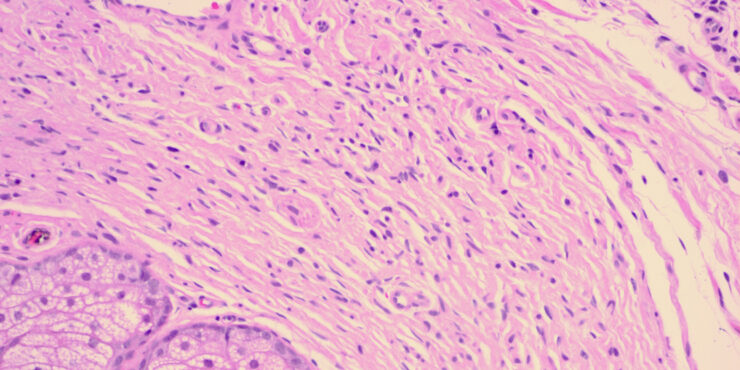
Necrobiois lipoidica diabeticorum = النخر الشحماني السكري Necrobiosis Lipoidica Necrobiosis lipoidica is an idiopathic disorder typified by indurated plaques of the shins . In 1966, in a large series, Muller and Winkelman reported that two thirds of patients with necrobiosis lipoidica had overt diabetes at the time of diagnosis {82}. Of the rest, all but […]
Read More









