Nevus verrucosus = وحمة ثؤلولية
Nevus verrucosus = وحمة ثؤلولية
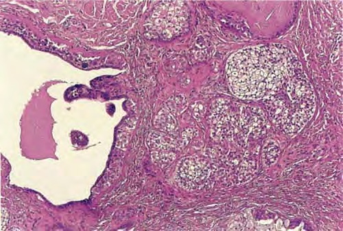
Read MoreNipple duct adenoma = غدووم في قناة الحلمة OLYMPUS DIGITAL CAMERA OLYMPUS DIGITAL CAMERA OLYMPUS DIGITAL CAMERA
Read MoreNodular melanoma = الميلانوم العقيدي Common Tumorigenic Melanoma Including Nodular Melanoma Nodular melanoma by definition contains only tumorigenic vertical growth (sometimes associated with a precursor) and, because of this, has a poorer prognosis on the average than superficial spreading melanoma. However, when other risk factors such as thickness are controlled, the prognosis of nodular melanoma […]
Read MoreNodular vasculitis = التهاب الاوعية العقيدي OLYMPUS DIGITAL CAMERA OLYMPUS DIGITAL CAMERA
Read MoreNoninflammatory thrombi = الصمامة غير الالتهابية
Read MoreNorth American blast omycosis = الفطار البرعمي الامريكي الشمالي
Read More