Neuroma = الورم العصبي
Neuroma = الورم العصبي
Read MoreNeutrophilic dermatosis= الجلاد بالمعتدلات Sweets Syndrome and Sweets Like Neutrophilic Dermatosis Dr. R. D. Sweet described in 1964 a disease process, which he termed “acute febrile neutrophilic dermatosis,” that was characterized by abrupt onset of fever, leukocytosis, and erythematous plaques infiltrated by neutrophils . This condition typically occurs in middle-aged women after nonspecific infections of […]
Read MoreNeutrophilic eccrine hidradenitis = التهاب الغدد العرقية الناتحة بالمعتدلات OLYMPUS DIGITAL CAMERA OLYMPUS DIGITAL CAMERA OLYMPUS DIGITAL CAMERA OLYMPUS DIGITAL CAMERA
Read MoreNevus_comedonicus = الوحمة الزؤانية Nevus Comedonicus A nevus comedonicus consists of closely set, slightly elevated papules that have in their center a dark, firm, hyperkeratotic plug resembling a comedo. Nevus comedonicus, like linear epidermal nevus, usually has a linear configuration and occurs as a single lesion. In some instances, however, there are multiple bilateral linear […]
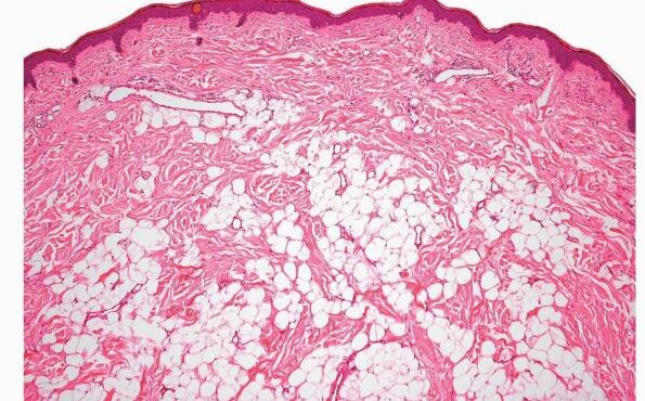
Read MoreNevus lipomatosus superficialis = الوحمة الدهنية السطحية
Read MoreNevus sebaceous of Jadassohn = الوحمة الدهنية لجاداسون
Read More