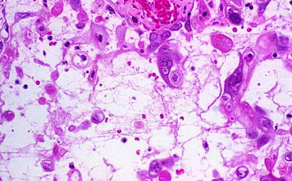
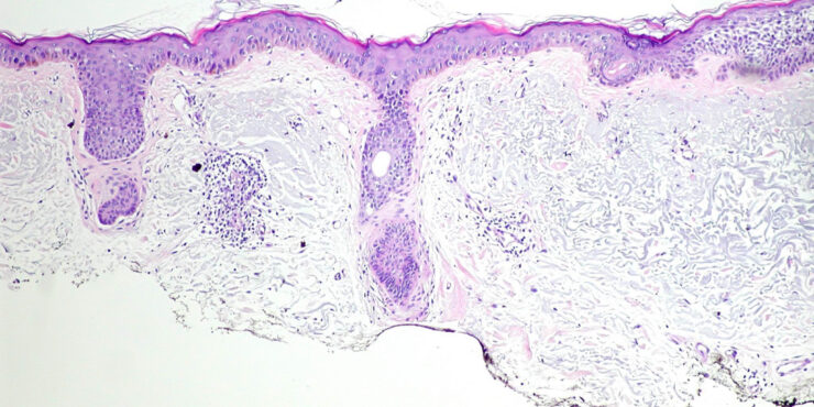
Bacillary angiomatosis = الورام الوعائي العصوي
Bacillary angiomatosis = الورام الوعائي العصوي BACILLARY ANGIOMATOSIS Epidemiology BA is most commonly seen in patients with acquired immunodeficiency syndrome (AIDS) and a CD4 count less than 50 cells/mm3, with an incidence of 1.2 cases per 1000 at-risk patients Patients with other forms of immunosuppression, including patients with leukemia and recipients of organ […]
Read More









