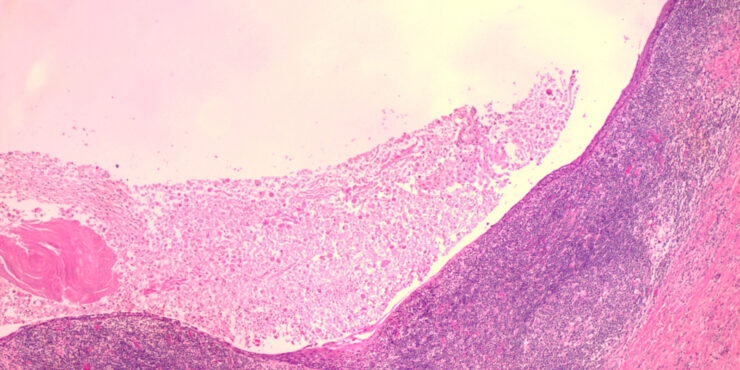
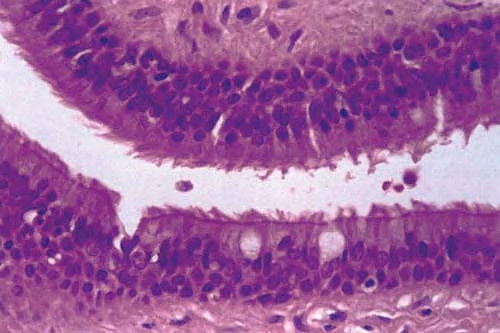
Branchial cleft cyst =كيسة الشق الغلصمي
Branchial cleft cyst =كيسة الشق الغلصمي Branchial Cyst (Branchial Cleft Cyst) Sequestration of first or second branchial cleft membranes results in these cysts, sinuses, or tags. EPIDEMIOLOGY Branchial cleft cysts are largely sporadic, but autosomal dominant cases have been reported. There is no gender predominance. Ten percent of lesions are bilateral. ETIOLOGY AND […]
Read More









