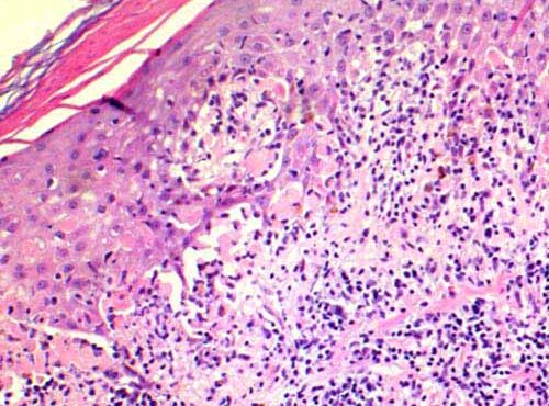
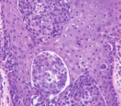
BCC with squamous differentiation =الورم القاعدي الخلايا مع تمايز شائك
BCC with squamous differentiation =الورم القاعدي الخلايا مع تمايز شائك
Read MoreBCC with squamous differentiation =الورم القاعدي الخلايا مع تمايز شائك
Read MoreBecker nevus = وحمة بيكر Beckers Melanosis Becker’s melanosis, also called Becker’s pigmented hairy nevus, occurs most commonly as a large, unilateral patch showing hyperpigmentation and hypertrichosis on the shoulder, back, or chest of a male adult . Usually, the patch is sharply but irregularly demarcated. Occasionally, however, the lesion presents as coalescing macules instead […]
Read MoreBenign familial chronic pemphigus =الفقاع المزمن العائلي السليم _هيلي هيلي HaileyHailey Disease Familial benign pemphigus is inherited as an autosomal dominant trait, with a family history obtainable in about two thirds of patients. Genetic studies have localized the key mutations to the ATP2C1 gene on chromosome 3q , specifically 3q21-q24, the area responsible for ATP-dependent […]
Read MoreBenign Lichenoid Keratosis = التقران الحزازاني الحميد
Read MoreBlue naevus = الوحمة الزرقاء Blue Nevi Blue nevi are benign, localized pigmented lesions that generally occur on the skin, although, occasionally, they may be observed in mucous membranes . On the skin, three types of benign blue nevi are recognized: the common blue nevus, the cellular blue nevus, and the combined nevus. In addition, […]
Read MoreBotryomycosis =الداء العنقودي OLYMPUS DIGITAL CAMERA OLYMPUS DIGITAL CAMERA
Read MoreBowenoid papulosis = الداء الحطاطي البوفناني Bowenoid Papulosis Bowenoid papulosis (BP) is characterized clinically by the presence of pigmented verrucous papules and plaques primarily on the genitalia of predisposed individuals, and histopathologically by the presence of SCC in situ-like changes . BP is caused by infection with HPV, and numerous HPV types have […]
Read MoreBowen’s disease = داء بوفن OLYMPUS DIGITAL CAMERA OLYMPUS DIGITAL CAMERA OLYMPUS DIGITAL CAMERA Bowen disease Bowen disease is a full-thickness anaplasia of the epidermis, with loss of the normal maturation of its components. Keratinocytes are atypical and disorderly, often described as having a windblown appearance. Although the basal cell layer is intact, extension of […]
Read More