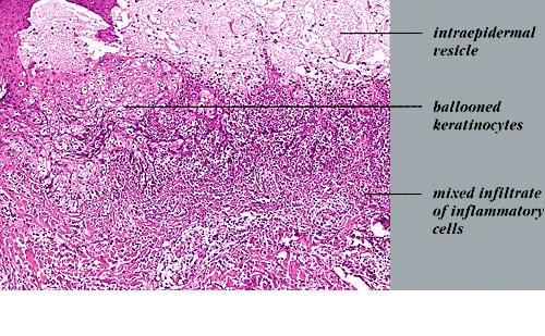
Vaccinia =الوقس =جدري البقر
Vaccinia =الوقس =جدري البقر
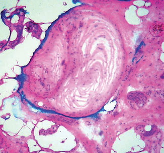
Read MoreVater Pacini corpuscle in the subcutaneous fat = جسيمات باسسيني
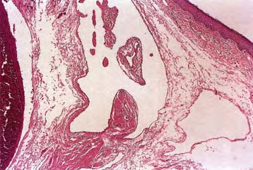
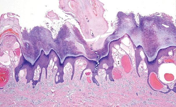
Read MoreVellus hair cysts = كيسات الشعر الزغبي OLYMPUS DIGITAL CAMERA
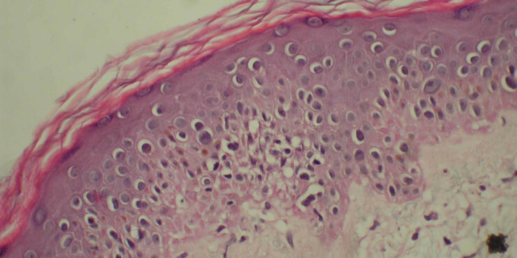
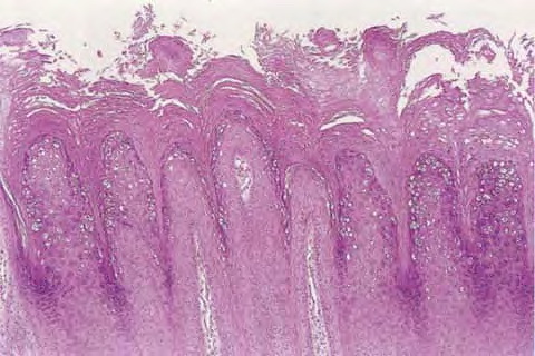
Read MoreVerruca palmoplantaris = الثؤلول الراحي الاخمصي
Read MoreVerrucous hemangioma = الوعاؤوم الدموي المتثألل
Read More