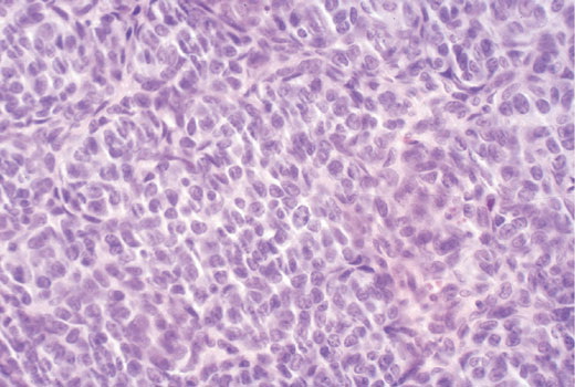
Verrucous melanoma = الميلانوم المتثألل
Verrucous melanoma = الميلانوم المتثألل
Read MoreVerrucous scc =الكارسينوما الشائكة الخلايا الثؤلولية
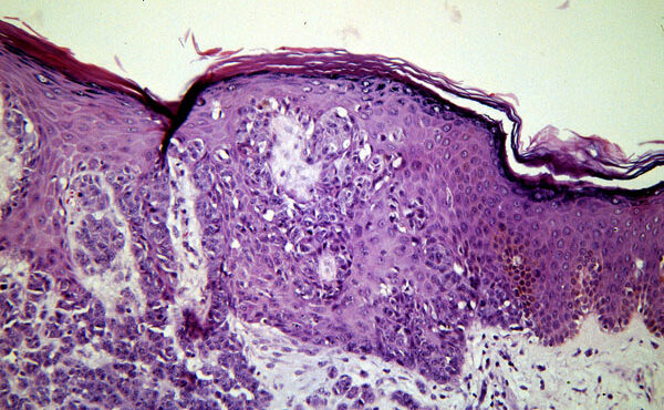
Read MoreVerrucous solar keratosis = التقران الضيائي المتثألل
Read MoreVertical growth phase melanoma =مرحلة نمو الميلانوما عموديا
Read More