Irritant contact dermatitis = التهاب الجلد التخريشي بالتماس
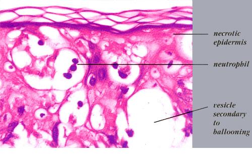
Irritant contact dermatitis = التهاب الجلد التخريشي بالتماس Irritant Contact Dermatitis This inflammatory reaction occurs after exposure to an irritant, a toxic compound that causes a reaction in most individuals who come into contact with it. Common irritants include alkalis, such as soaps, detergents, lye, and ammonia-containing compounds. The irritant response is determined by […]
Read More
