Ichthosis = السماك
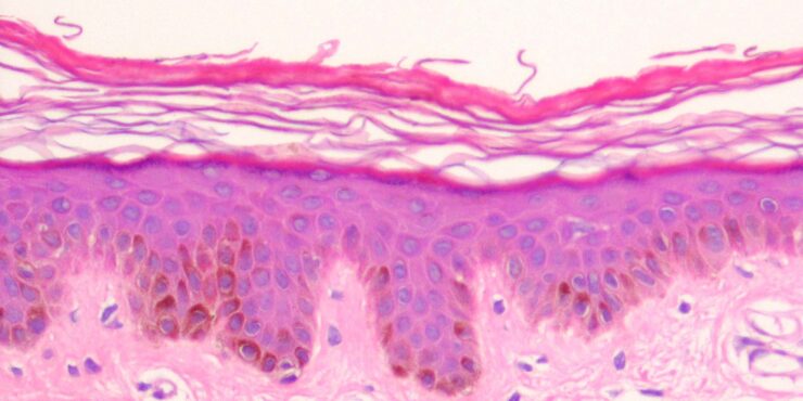
Ichthosis = السماك OLYMPUS DIGITAL CAMERA OLYMPUS DIGITAL CAMERA Ichthyosis A classification of ichthyosis includes four major and three minor forms. In addition, there are a number of syndromes that are associated with ichthyosis. Ichthyosis Vulgaris Ichthyosis vulgaris is a common disorder caused by mutations in filaggrin and inherited in an autosomal dominant fashion. It […]
Read More









