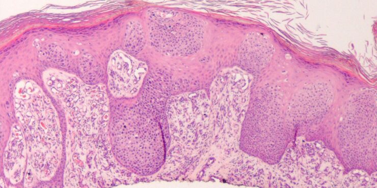
Inflammatory papillary hyperplasia =فرط التصنع الحليمي الالتهابي
Inflammatory papillary hyperplasia =فرط التصنع الحليمي الالتهابي
Read MoreInflammatory papillary hyperplasia =فرط التصنع الحليمي الالتهابي
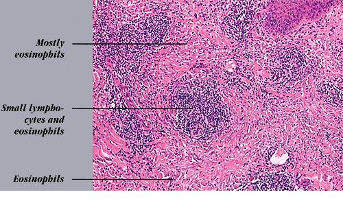
Read MoreInterstitial granuloma annulare = الورم الحبيبي الحلقي الخلالي Granuloma Annulare Granuloma annulare is a benign self-limited disease, first described by Colcott-Fox1 in 1895 and Radcliffe-Crocker in 1902. EPIDEMIOLOGY Granuloma annulare is a relatively common disorder. It occurs in all age groups but is rare in infancy. The localized annular and subcutaneous forms occur more frequently […]
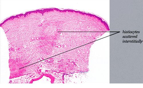
Read MoreInterstitial granulomatous dermatitis = التهاب الجلد الحبيبومي الخلالي
Read MoreIntradermal melanocytic naevus = الوحمة ميلانية الخلايا داخل الادمة Melanocytic Nevi Common Melanocytic Nevus Although the term “nevus” may refer to a variety of hamartomatous and/or neoplastic lesions in the skin, the unqualified term in common usage and in this chapter refers to a melanocytic nevus, which is generally considered to be a benign neoplastic […]
Read MoreIntraepidermal eccrine carcinoma = الكارسينوما الناتحة داخل البشرة OLYMPUS DIGITAL CAMERA OLYMPUS DIGITAL CAMERA OLYMPUS DIGITAL CAMERA
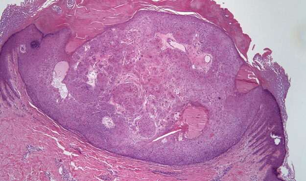
Read MoreIntravascular papillary endothelial hyperplasia = فرط تصنع حليمومي لبطانة الاوعية
Read MoreInvasive scc= الكارسينوما الشائكة الخلايا الغازية
Read MoreInverted follicular keratosis = التقران الجرابي المقلوب
Read More