Female pattern alopecia = الصلع من النموذج الانثوي
Female pattern alopecia = الصلع من النموذج الانثوي
Read MoreFemale pattern alopecia = الصلع من النموذج الانثوي
Read MoreFibroadenoma =الغدوم الليفي Fibroadenoma EPIDEMIOLOGY Fibroadenoma is the most common cause of a breast mass in women younger than 25 years of age. ETIOLOGY AND PATHOGENESIS The etiology is unknown, but the condition probably results from a proliferation of breast tissue in response to […]
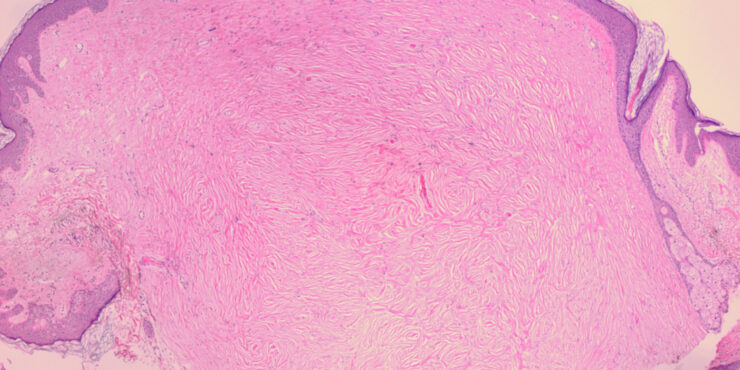
Read MoreFibroepithelial poly = البوليب الظهاري الليفي OLYMPUS DIGITAL CAMERA
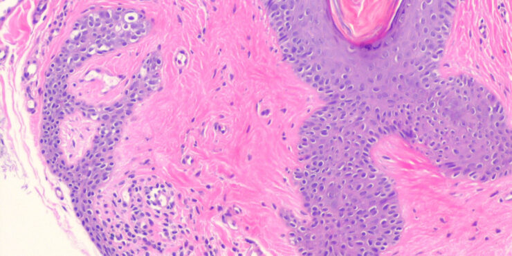
Read MoreFibroepithelioma (Pinkus) = الظهاروم الليفي لبينكوس OLYMPUS DIGITAL CAMERA OLYMPUS DIGITAL CAMERA
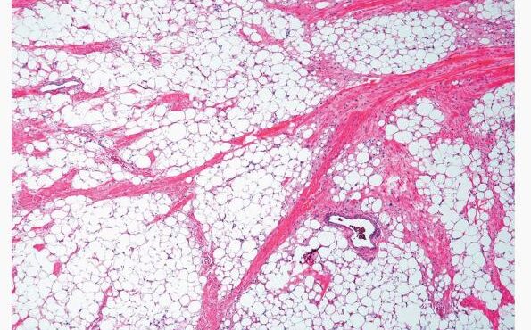
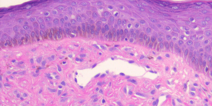
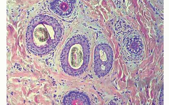
Read MoreFibrofolliculoma =ورم جراب الشعرة الليفي OLYMPUS DIGITAL CAMERA OLYMPUS DIGITAL CAMERA
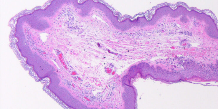
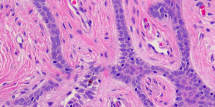
Read MoreFibrous papule (angiofibroma) = حطاطة تليفية =ليفوم وعائي OLYMPUS DIGITAL CAMERA OLYMPUS DIGITAL CAMERA FIBROUS PAPULE Currently, there is some disagreement as to whether fibrous papule represents a neoplastic process or a hamartoma.Fibrous papule (perifollicular fibroma) presents mainly as a solitary papule or as several dome-shaped, skin-colored, pigmented, or reddish lesions situated on the face, […]
Read More