fibroxanthoma = الورم الاصفر الليفي
fibroxanthoma = الورم الاصفر الليفي
Read MoreFocal dermal hypoplasia (Goltz-Godin syndrome) = نقص تصنع الادمة البؤري = متلازمة غولتز كودن
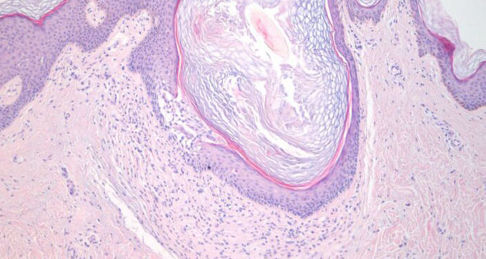
Read MoreFollicular infundibulum tumor = الورم الجرابي القمعي
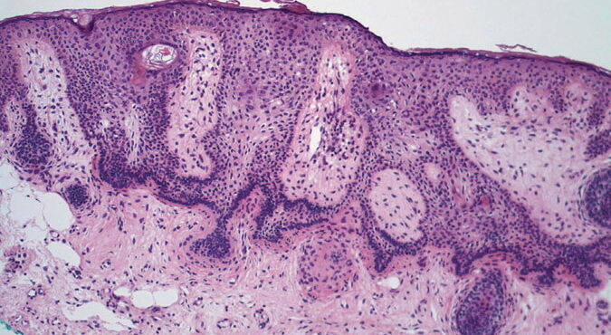
Read MoreFollicular Mucinosis = الداء المخاطيني الجرابي OLYMPUS DIGITAL CAMERA OLYMPUS DIGITAL CAMERA OLYMPUS DIGITAL CAMERA OLYMPUS DIGITAL CAMERA OLYMPUS DIGITAL CAMERA OLYMPUS DIGITAL CAMERA Mucinoses There are six types of cutaneous mucinosis: (a) generalized myxedema, (b) pretibial myxedema, (c) lichen myxedematosus or papular mucinosis, (d) reticular erythematous mucinosis or plaquelike mucinosis, (e) selfhealing juvenile cutaneous […]
Read MoreFolliculitis decalvans =التهاب الاجربة الشعرية –ديكالفانس
Read MoreFolliculitis with subcorneal pustule formation = التهاب أجربة شعرية +بثرة تحت القرنية
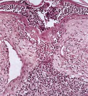
Read MoreForeign body reaction = ارتكاس للجسم الاجنبي Foreign Body Reactions Foreign substances, when injected or implanted accidentally into the skin, can produce a nonallergic foreign-body reaction or, in persons specifically sensitized to them, an allergic response (. In addition, certain substances formed within the body may produce a nonallergic foreign-body reaction when deposited in the […]
Read More