Cutaneous B cell lymphoma = اللمفوما الجلدية بائية الخلايا
Cutaneous B cell lymphoma = اللمفوما الجلدية بائية الخلايا
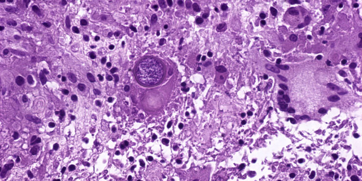
Read MoreCutaneous B cell lymphoma = اللمفوما الجلدية بائية الخلايا
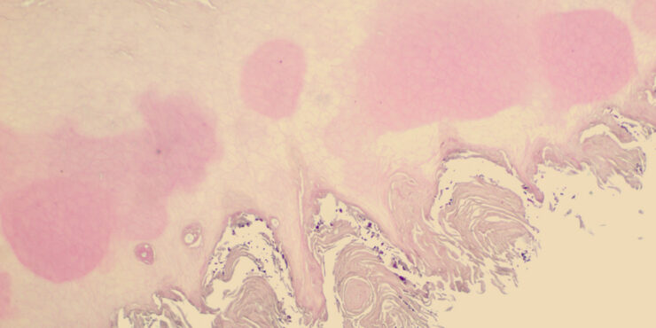
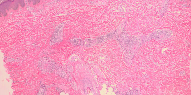
Read MoreCalcinosis Cutis = الكلاس الجلدي OLYMPUS DIGITAL CAMERA OLYMPUS DIGITAL CAMERA Calcinosis Cutis There are four forms of calcinosis cutis: metastatic calcinosis cutis, dystrophic calcinosis cutis, idiopathic calcinosis cutis, and subepidermal calcified nodule. Metastatic Calcinosis Cutis Metastatic calcification develops as the result of hypercalcemia or hyperphosphatemia. Hypercalcemia may result from (a) primary hyperparathyroidism, (b) […]
Read MoreCandida onychomycosis =اصابة ظفرية بالمبيضات البيض
Read MoreChondrodermatitis nodularis helicis =التهاب الجلد والغضروف العقيدي في الاذن OLYMPUS DIGITAL CAMERA
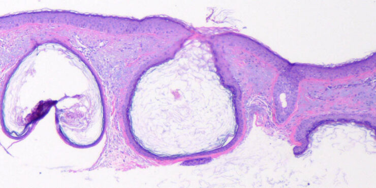
Read MoreClear Cell Acanthoma Degos =الشوكوم رائق الخلايا لديغوس OLYMPUS DIGITAL CAMERA OLYMPUS DIGITAL CAMERA OLYMPUS DIGITAL CAMERA OLYMPUS DIGITAL CAMERA Clear Cell Acanthoma Clear cell acanthoma, a tumor that is clinically and histologically quite distinct, was first described in 1962 (122). It is not rare. Typically the lesions are solitary and occur on the […]
Read MoreColloid milium =الدخنية الغروانية OLYMPUS DIGITAL CAMERA OLYMPUS DIGITAL CAMERA Colloid Milium Colloid milium is a rare condition characterized by (1) the presence of multiple, dome-shaped, amber- or flesh-colored papules developing on light-exposed skin and (2) the observance of dermal colloid under light microscopy. The 4 variants are (1) an adult-onset type, (2) a nodular […]
Read More