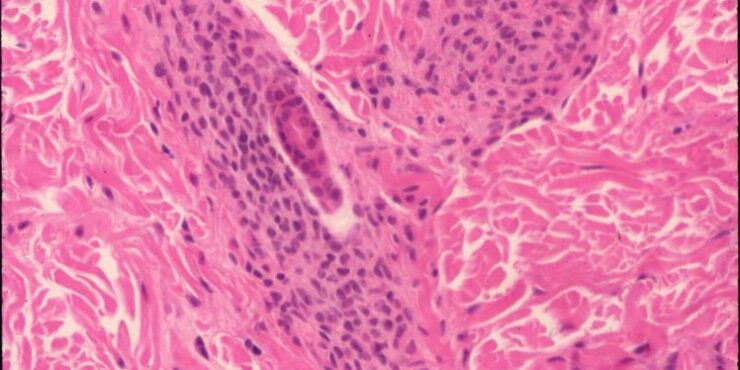
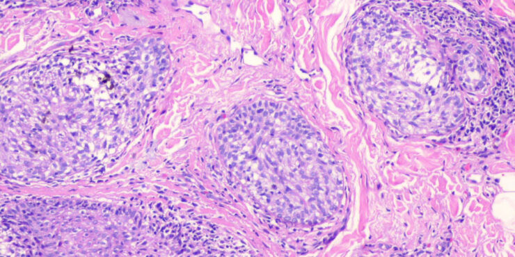
Compound Nevus =الوحمة المركبة
Compound Nevus =الوحمة المركبة
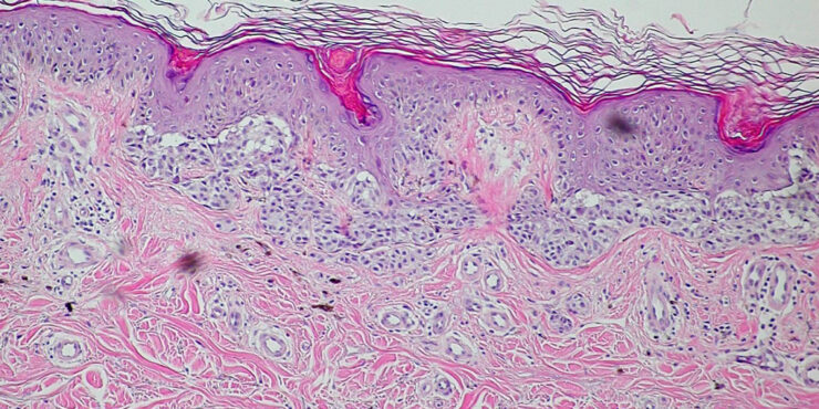
Read MoreCondyloma Acuminatum =اللقموم المؤنف Histologic Findings Biopsy of the vulvar skin associated with condyloma shows evidence of hyperkeratosis, acanthosis, and parakeratosis. A chronic inflammatory infiltrate is often observed within the dermis. Koilocytosis, which is perinuclear cytoplasmic halos, is commonly observed in the superficial epithelial cells. Other microscopic findings include basilar hyperplasia with binucleated and multinucleated […]
Read MoreCryoglobulinaemia = فرط غلوبولينات البرد في الدم Cryoglobulinaemia Histologic Findings Skin: Purpura are histologically characterized by dermal vasculitis that extends variably to the subcutaneous interstitial space. HCV-associated proteins have been found in vasculitic skin biopsy samples, suggesting a role for these antigens in pathogenesis of the lesions. Other organs: Autopsy studies have revealed unsuspected vasculitis […]
Read MoreCryptococcosis =داء المستخفيات Histologic Findings In spinal fluid, urine, and tissue, pathogenic strains of C neoformans grow as round-to-oval yeast, surrounded by a polysaccharide capsule composed of mannose, xylose, and glucuronic acid. The yeast may be single or may have a single budding daughter cell. Cell size varies widely and ranges from 3.5-8 µm in diameter. Rarely, […]
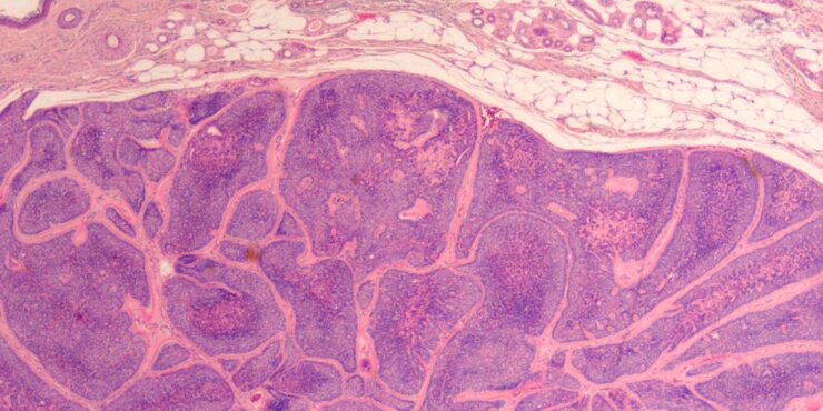
Read MoreCutaneous lymphadenoma =الغدوم اللمفاوي الجلدي
Read MoreCylindroma =الأسطوانوم OLYMPUS DIGITAL CAMERA OLYMPUS DIGITAL CAMERA OLYMPUS DIGITAL CAMERA OLYMPUS DIGITAL CAMERA
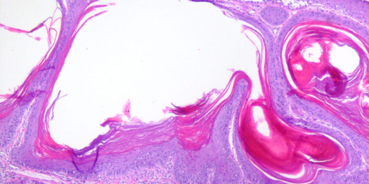
Read MoreCystic_scc = الورم الشائك الخلايا الكيسي OLYMPUS DIGITAL CAMERA OLYMPUS DIGITAL CAMERA
Read More