Tubular apocrine adenoma =غدوم مفترز انبوبي

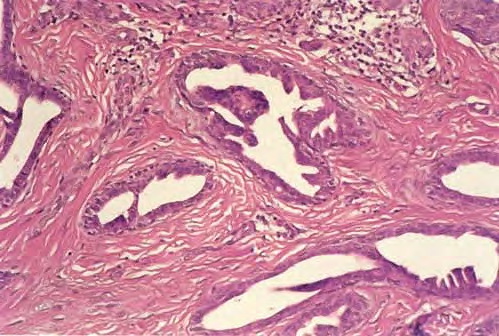
Tubular apocrine adenoma =غدوم مفترز انبوبي TUBULAR ADENOMA Epidemiology. Tubular adenomas are found in middle-aged adults as solitary, slowly growing, well-circumscribed nodules, situated mostly on the extremities. Black women appear to be preferentially affected. Etiology. The term tubular adenoma defines a group of benign appendage tumors histopathologically characterized mainly by numerous cystic, dilated, and branching […]

Read More

Tungiasis =داء الطوامر

Tungiasis =داء الطوامر Tungiasis Tungiasis is an infestation by the burrowing flea Tunga penetrans or related species. The flea has many common names as listed above. Tungiasis was first reported in crewmen who sailed with Christopher Columbus. The flea is indigenous to the West Indies/Caribbean/Central America region, but it has spread to Africa, India, Pakistan, and South America. Travelers to endemic areas […]

Read More
error: Content is protected !!