Tongue surface –Higher magnification = سطح اللسان بالتكبير العالي
Tongue surface –Higher magnification = سطح اللسان بالتكبير العالي
Read MoreTongue surface –Higher magnification = سطح اللسان بالتكبير العالي
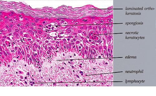
Read MoreToxic epidermal necrolysis = انحلال البشرة النخري السمي
Read MoreToxic Shock Syndrome = متلازمة الصدمة الانسمامية
Read MoreTransient acantholytic dermatosis (Grover’s disease) =جلاد انحلال الأشواك العابر_داء غروفر Transient Acantholytic Dermatosis Grovers Disease First described in 1970, transient acantholytic dermatosis is characterized by pruritic, discrete papules and papulovesicles on the chest, back, and thighs. In rare instances, vesicles and even bullae are seen. Most patients are middle-aged or elderly men. Although the disorder […]
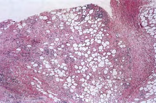
Read MoreTraumatic panniculitis = التهاب السبلة الشحمية الرضي
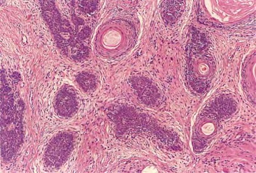
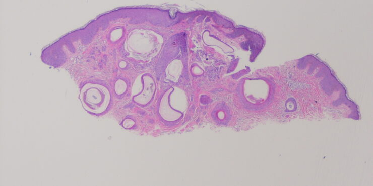
Read MoreTrichoadenoma =ورم غدي شعري OLYMPUS DIGITAL CAMERA OLYMPUS DIGITAL CAMERA OLYMPUS DIGITAL CAMERA OLYMPUS DIGITAL CAMERA OLYMPUS DIGITAL CAMERA
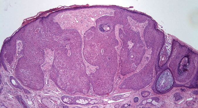
Read MoreTrichoepithelioma =ورم ظهاري شعري Trichoepithelioma Trichoepithelioma occurs either in multiple lesions or as a solitary lesion. The name trichoepithelioma is preferable to other designations, such as epithelioma adenoides cysticum and multiple benign cystic epithelioma, because it is more indicative that the differentiation of this tumor is toward hair structures. Multiple trichoepitheliomas are transmitted as an autosomal dominant trait (53). In most […]
Read More