Jessner’s lymphocytic infiltrate = الارتشاح اللمفاوي لجسنير
Jessner’s lymphocytic infiltrate = الارتشاح اللمفاوي لجسنير
Read MoreJessner’s lymphocytic infiltrate = الارتشاح اللمفاوي لجسنير
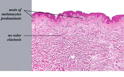
Read MoreJunctional melanocytic naevus= الوحمة ميلانية الخلايا الوصلية
Read MoreJunctional spitz nevus = وحمة سبيتز الوصلية SPITZ NEVUS Epidemiology An annual incidence rate of 1.4 cases of Spitz nevus per 100,000 individuals has been estimated in Australia, compared with 25.4 per 100,000 individuals for cutaneous melanoma during the same time interval. Among melanocytic nevi excised in children, 1 percent to 8 […]
Read MoreJunctional type epidermolysis bullosatypical =انحلال البشرة الفقاعية الوصلي
Read MoreJuvenile xanthogranuloma =الحبيبوم الاصفر الشبابي JUVENILE XANTHOGRANULOMA Clinical Findings CUTANEOUS LESIONS JXG is a benign, self-healing disorder that is characterized by asymptomatic yellowish papulonodular lesions of the skin and other organs in the absence of a metabolic disorder. Lesions consist of an infiltrate of histiocytes with a progressively greater degree of lipidation. In JXG two […]
Read More