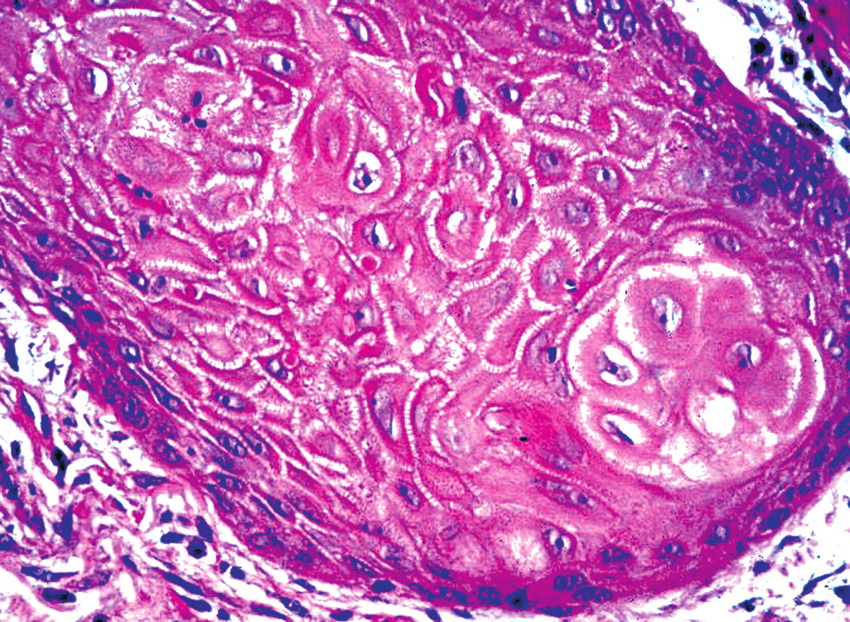
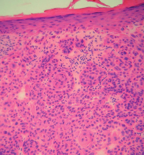
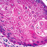
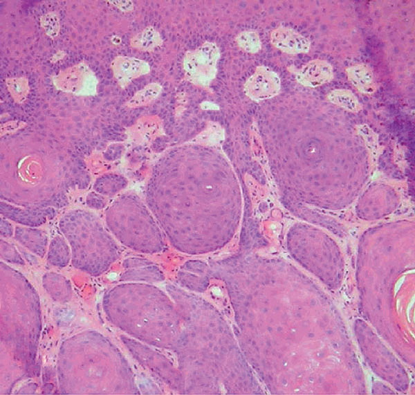
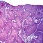
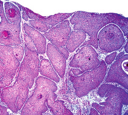
Well-differentiated scc = الكارسينوما الشائكة الخلايا الجيدة التمايز

error: Content is protected !!