Warty dyskeratoma = ورم عسر التقرن ثؤلولي

Warty Dyskeratoma

Warty dyskeratoma, first described in 1957 , usually occurs as a solitary lesion, most commonly on the scalp, face, or neck, although a case with multiple lesions has been described . It has also been reported in non-sun-exposed skin, including the oral mucosa, usually on the hard palate or an alveolar ridge . Although its clinical appearance is not always distinctive, it often occurs as a slightly elevated papule or nodule with a keratotic umbilicated center . The lesion, after having reached a certain size, persists indefinitely.

Histopathology.

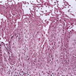
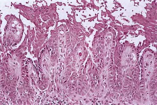
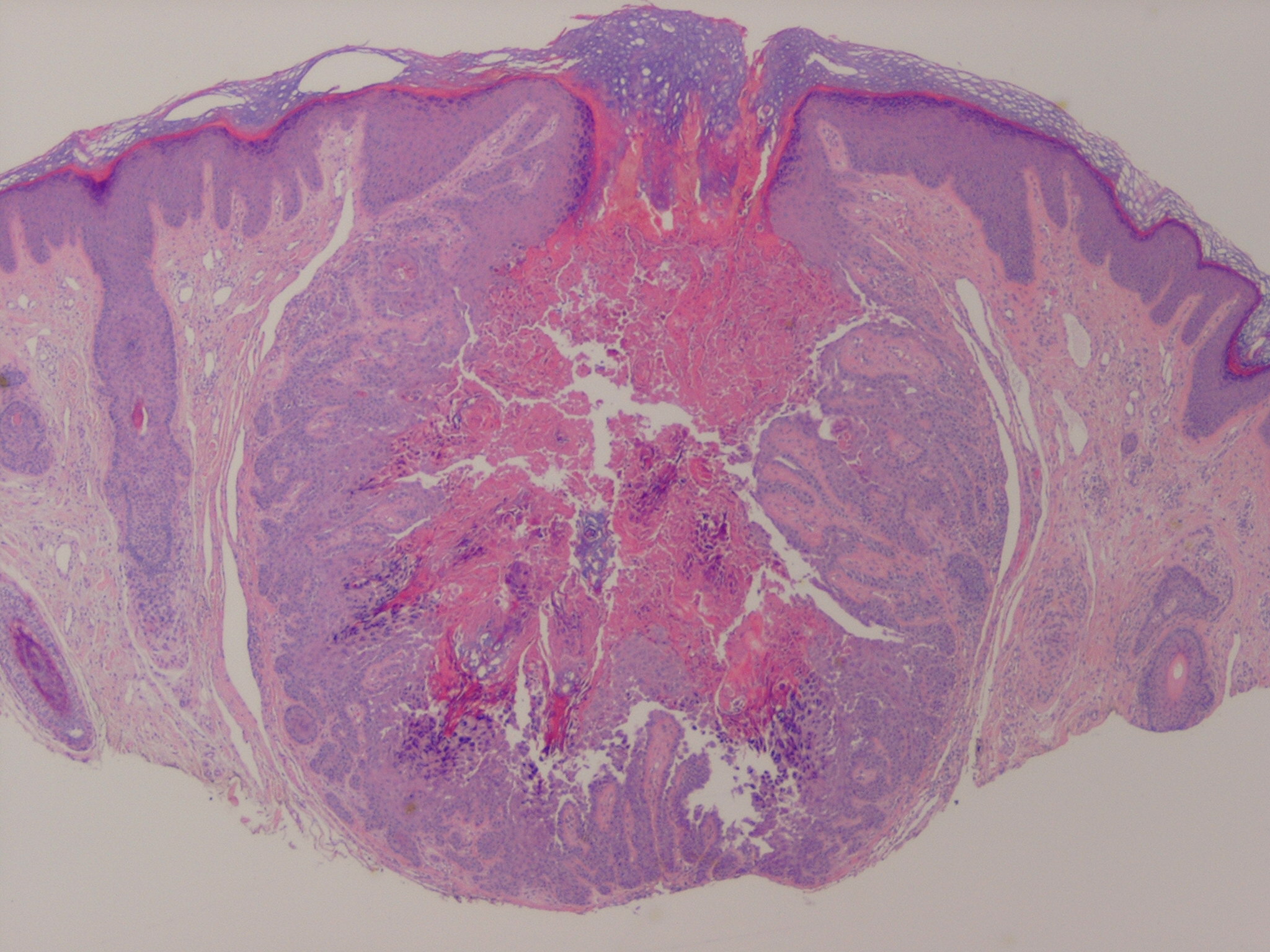
 The center of the lesion is occupied by a large, cup-shaped invagination connected with the surface by a channel filled with keratinous material . The large invagination contains numerous acantholytic, dyskeratotic cells in its upper portion. The lower portion of the invagination is occupied by numerous villi, that is, markedly elongated dermal papillae that are often lined with only a single layer of basal cells and project upward from the base of the cup-shaped invagination  . Typical corps ronds can I

usually be seen in the thickened granular layer lining the channel at the entrance to the invagination .

Pathogenesis. The central cup-shaped invagination has been interpreted by several observers as a greatly dilated hair follicle because in early lesions a hair follicle or sebaceous gland is often connected with the invagination . Occasionally, two or three adjoining follicles seem to be involved  The fact, however, that warty dyskeratoma can arise on the oral mucosa indicates that, as in Darier’s disease, the dyskeratotic, acantholytic process is not always derived from a pilosebaceous structure.

Although attempts were made at first to correlate warty dyskeratoma with Darier’s disease, it is now generally agreed that warty dyskeratoma represents an entity-“a benign cutaneous tumor that resembles Darier’s disease microscopically”

error: Content is protected !!