Contact Us :
00966507444030
Contact Us!
Contact Us!
Home
Site Map
Atlas
Atlas Of Dermatology
Atlas of skin histopathology
Quick Quiz
Registration
Contact Us
👤 Users: 0 | 👁 Guests: 9 | 🌍 Total: 9
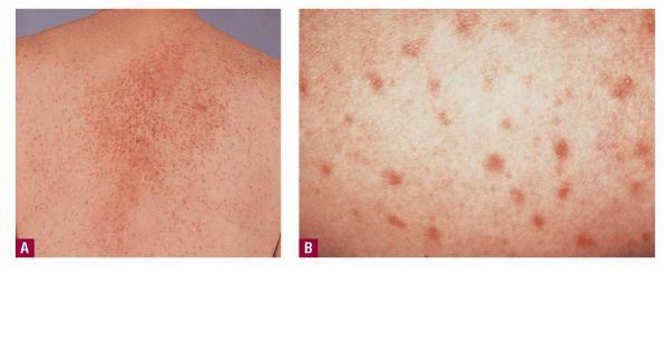
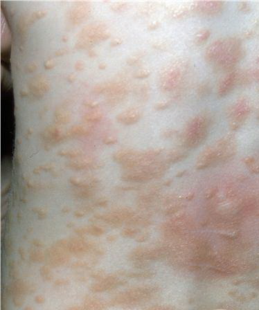
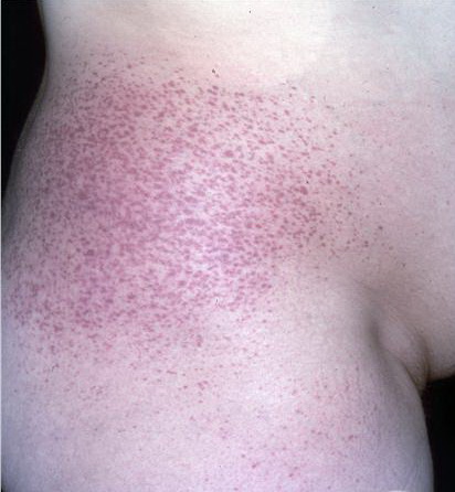
Urticaria Pigmentosa = الشرى الصباغي
Sierra Exif JPEG
Sierra Exif JPEG
error:
Content is protected !!