Tubular apocrine adenoma =غدوم مفترز انبوبي

TUBULAR ADENOMA

Epidemiology.

Tubular adenomas are found in middle-aged adults as solitary, slowly growing, well-circumscribed nodules, situated mostly on the extremities. Black women appear to be preferentially affected.

Etiology.

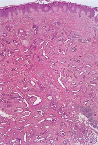
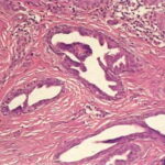
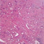
The term tubular adenoma defines a group of benign appendage tumors histopathologically characterized mainly by numerous cystic, dilated, and branching tubular structures in the dermis surrounded by a compressed fibrous stroma. Lesions show either eccrine (tubular eccrine adenoma) or apocrine (tubular apocrine adenoma) differentiation.

Clinical Findings.

Unusual presentations include their occurrence during childhood, large tumors, and lesions with verrucous or eroded surfaces. Some cases arise in association with a pre-existing nevus sebaceus or syringocystadenoma papilliferum.

Histopathology.

This lesion demonstrates a relatively well-circumscribed dermal nodule consisting of numerous cystic, dilated, and branching tubules, surrounded by compressed or focally hyalinized fibrous tissue.

Prognosis and Clinical Course.

Tubular adenomas sometimes recur after surgical excision, but malignant transformation has not been observed.

Treatment.

Treatment is by simple surgical excision.

error: Content is protected !!