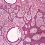
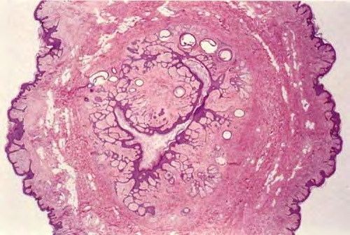
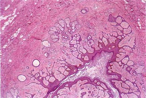
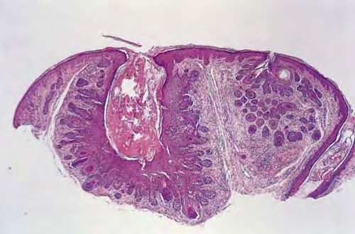
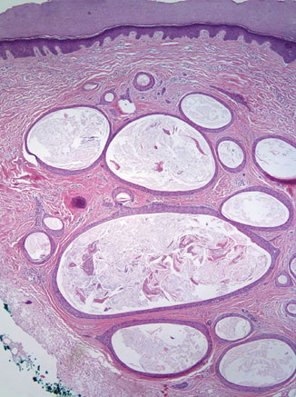
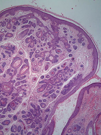
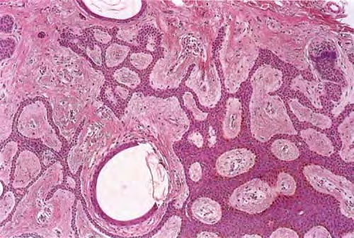
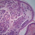
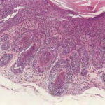
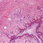
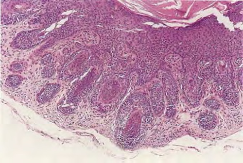
Trichofoliculoma =ورم جريبي شعري

error: Content is protected !!