Trichoepithelioma =ورم ظهاري شعري

Trichoepithelioma

Trichoepithelioma occurs either in multiple lesions or as a solitary lesion. The name trichoepithelioma is preferable to other designations, such as epithelioma adenoides cysticum and multiple benign cystic epithelioma, because it is more indicative that the differentiation of this tumor is toward hair structures.

Multiple trichoepitheliomas are transmitted as an autosomal dominant trait (53). In most instances, the first lesions appear in childhood and gradually increase in number (54). Numerous rounded, skin-colored, firm papules and nodules usually between 2 and 8 mm in diameter are seen located mainly in the nasolabial folds, but also the nose, forehead, and upper lip. Occasionally, lesions are seen also on the scalp, neck, and upper trunk. Ulceration of the lesions occurs rarely. Transformation of one or several lesions into basal cell carcinomas is a very rare event. Most of the cases reported as such in the past are now regarded as instances of nevoid basal cell carcinoma syndrome (19,55). Nevertheless, there have been a few cases of basal cell carcinoma arising in the setting of multiple trichoepitheliomas . The simultaneous presence of trichoepithelioma and cylindroma, the latter of which is also dominantly inherited, has been observed repeatedly .

Solitary trichoepithelioma occurs more commonly than multiple trichoepitheliomas . It is not inherited and consists of a firm, elevated, flesh-colored nodule usually less than 2 cm in diameter. Its onset usually is in childhood or early adult life . Most commonly, the lesion is seen on the face, but it may occur elsewhere. The presence within the same tumor of a solitary trichoepithelioma and an apocrine adenoma has been described .

Giant solitary trichoepithelioma, measuring several centimeters in diameter, is a distinct variant of trichoepithelioma . It arises in later life and occurs most commonly on the thigh and in the perianal region .

 

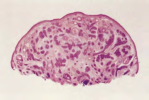
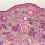
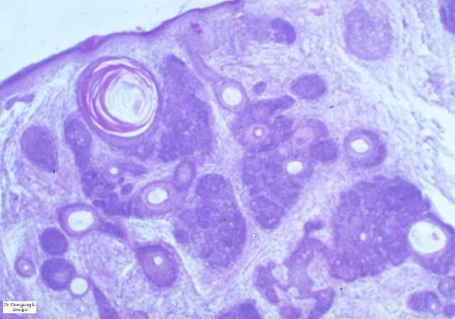
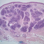
Histopathology.

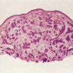
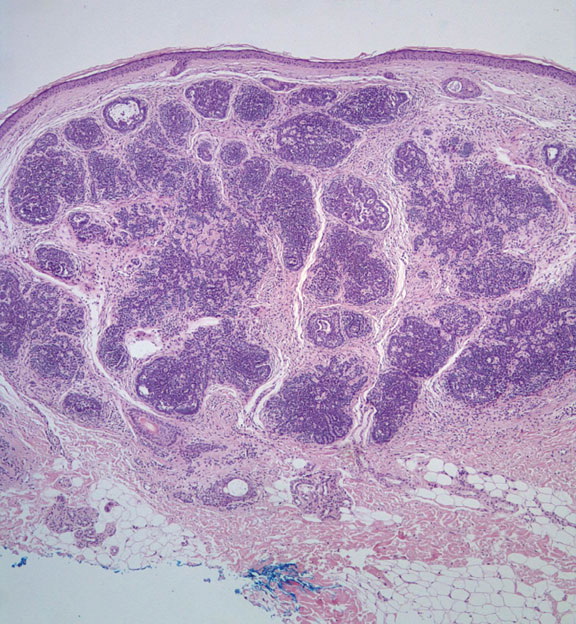
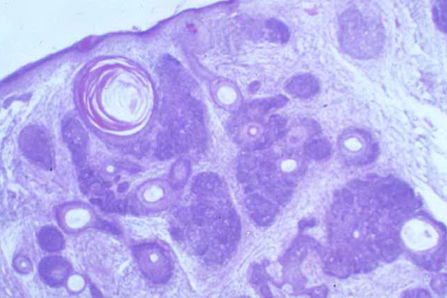
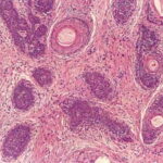
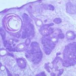
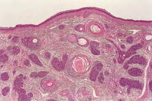
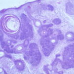
 As a rule, multiple trichoepitheliomas are superficial dermal lesions. They appear well circumscribed, small, and symmetric on histologic examination. Horn cysts are the most characteristic histologic feature, although they may be absent in some lesions. They consist of a fully keratinized center surrounded by basophilic cells that have the same appearance as the cells in the basal cell carcinoma, except that they tend to lack high-grade atypia and mitoses, which may be prominent in some but not all carcinomas . The keratinization is abrupt and complete, in the manner of so-called “trichilemmal” keratinization, as opposed to the horn pearls of squamous cell carcinoma. Quite frequently, one observes one or a few layers of cells with eosinophilic cytoplasm and large, oval, pale, vesicular nuclei situated between the basophilic cells and the horn cysts .

. The fibroblasts encircle and are tightly associated with the basaloid islands, lacking the retraction artifact typical of basal cell carcinoma . Both the adenoid and the solid aggregates show invaginations, which contain numerous fibroblasts and resemble follicular papillae, also known as papillary mesenchymal bodies .

Additional findings, observed in some but not all trichoepitheliomas, are the presence of a foreign-body giant-cell reaction in the vicinity of ruptured horn cysts, calcium deposits either within the foci of the foreign-body reaction or within intact horn cysts, and amyloid .

Occasionally, some lesions in patients with multiple trichoepitheliomas show relatively little differentiation toward hair structures. They contain only a few horn cysts, with many areas resembling basal cell carcinoma . Such lesions can be difficult to distinguish from those of a keratotic basal celli

carcinoma, which may also show horn cysts. Thus, on a histologic basis, it may be difficult definitively to distinguish between multiple trichoepitheliomas and basal cell carcinoma (see Differential Diagnosis).

Solitary trichoepithelioma often has a high degree of differentiation toward hair structures. Solitary lesions with relatively little differentiation toward hair structures could be classified as keratotic basal cell carcinoma. If a lesion is to qualify for the diagnosis of solitary trichoepithelioma, it should contain numerous horn cysts and abortive hair papillae and show only few areas with the appearance of basal cell carcinoma . Mitotic figures should be rare or absent, and the lesion should not be unduly large, asymmetric, or infiltrative.

Additional Studies. It is assumed that the basophilic cells surrounding horn cysts are similar to hair matrix cells and that the horn cysts represent attempts at hair shaft formation. The eosinophilic cells seen occasionally around horn cysts probably represent cells with initial keratinization and are similar to the nucleated cells seen in normal hair shafts at the keratogenous zone.

Histochemical staining with the Gomori stain for alkaline phosphatase has shown positive staining in many invaginations at the periphery of tumor islands and strands, indicative of a differentiation toward hair papillae . An immunohistochemical analysis using a panel of monoclonal anti keratin antibodies suggests that trichoepitheliomas differentiate toward the outer root sheath . The expression of cytokeratin 15 in a subset of trichoepitheliomas suggests that these tumors contain cells that are related to hair follicle stem cells in the follicular bulge . Electron microscopic study has confirmed that the horn cysts of trichoepithelioma represent immature hair structures, with abrupt development of the horn cells from hair matrix cells .

The putative gene for multiple familial trichoepitheliomas has been localized to chromosome 9p21. Several known tumor suppressor genes, including p15, p16, and p19, have been assigned to this region . However, loss of heterozygosity on chromosome 9p21 has not been found in sporadic trichoepitheliomas . Conversely, in sporadic trichoepitheliomas loss of heterozygosity has been found on chromosome 9q23 . In addition, deletions causing overexpression of the human homologue of the Drosophila patched gene (Ptch) have been found in trichoepitheliomas as in basal cell carcinoma . A large body of recent work has demonstrated that mutations in the CYLD2 gene, which appears

to function as an ubiquitin-specific protease, are present in some cases

The close relationship between trichoepithelioma and basal cell carcinoma has been explained on the basis of the assumption that they have a common genesis from pluripotential cells, which, like primary epithelial germ cells, may develop toward hair structures . This hypothesis is supported by the fact that patched gene mutations are seen in both tumors . Because cells of various degrees of maturity may occur in the same lesion, trichoepithelioma may have areas consistent with the histologic picture of basal cell carcinoma and vice versa.

Differential DiagnosisThe difficulty of differentiating multiple trichoepitheliomas from keratotic basal cell carcinoma on histologic grounds has been pointed out, and the need for clinical data has been stressed. Diagnosis may be assisted, in a given case, by clinical data, such as the number and distribution of the lesions and the presence of hereditary

transmission. In addition, certain histologic features, as well as immunohistochemical stains, can assist in differentiating between the two. The presence of well-formed horn cysts, papillary-mesenchymal bodies, and lack of high-grade atypia and mitoses favor the diagnosis of trichoepithelioma . Histologic features that favor basal cell carcinoma include the presence of myxoid stroma and stromal retraction or clefting around the basaloid islands . Focal positive CD34 staining of the fibroblastic stroma has been shown in trichoepitheliomas, whereas in basal cell carcinoma, this staining pattern was not seen . However, in a separate study similar CD34 staining was found in trichoepitheliomas but also in many metatypical basal cell carcinomas . Staining of the outermost epithelial layer for bcl-2 has been seen in several trichoepitheliomas. In contrast, basal cell carcinomas frequently stain diffusely . Immunohistochemistry for CD10 may be helpful in differentiating trichoepitheliomas from basal cell carcinomas. CD10 stains the stromal cells but not the epithelial cells in trichoepitheliomas, whereas in basal cell carcinomas, CD10 is present in the epithelial cells and rarely in the stromal cells .

The differentiation of multiple trichoepitheliomas from the nevoid basal cell carcinoma syndrome on histologic grounds can be just as difficult. This, too, often requires clinical information. Although both diseases are dominantly inherited and have multiple lesions, the lesions in multiple trichoepitheliomas present mainly in the nasolabial fold, remain small, and hardly ever ulcerate, whereas the lesions in the nevoid basal cell carcinoma syndrome are haphazardly distributed and, especially in the late, “neoplastic” phase, can grow to considerable size, ulcerate deeply, and show severely destructive growth. In addition, patients with the nevoid basal cell carcinoma syndrome almost invariably show multiple skeletal and central nervous system anomalies and frequently show multiple palmar and plantar pits.

error: Content is protected !!